NBP2-67020
antibody from Novus Biologicals
Targeting: CYP2D6
CPD6, CYP2D, CYP2D7AP, CYP2D7BP, CYP2D7P2, CYP2D8P2, CYP2DL1, P450-DB1, P450C2D
Antibody data
- Antibody Data
- Antigen structure
- References [0]
- Comments [0]
- Validations
- Western blot [2]
- Immunohistochemistry [2]
Submit
Validation data
Reference
Comment
Report error
- Product number
- NBP2-67020 - Provider product page

- Provider
- Novus Biologicals
- Product name
- Rabbit Monoclonal Cytochrome P450 2D6 Antibody
- Antibody type
- Monoclonal
- Description
- Protein A purified.
- Reactivity
- Human
- Host
- Rabbit
- Isotype
- IgG
- Vial size
- 100 ul
- Storage
- Store at 4C short term. Aliquot and store at -20C long term. Avoid freeze-thaw cycles.
No comments: Submit comment
Supportive validation
- Submitted by
- Novus Biologicals (provider)
- Main image

- Experimental details
- Western Blot: Cytochrome P450 2D6 Antibody (JM44-23) [NBP2-67020] - Analysis of Cytochrome P450 2D6 on HepG2 cell using anti-Cytochrome P450 2D6 antibody at 1/1,000 dilution.
- Submitted by
- Novus Biologicals (provider)
- Main image

- Experimental details
- Simple Western: Cytochrome P450 2D6 Antibody (JM44-23) [NBP2-67020] - Lane 25 is a Human Liver Tissue Lysate Sample (African American) blotted with NBP2-67020 and shows a clear CYP2D6 red band around a molecular weight of 51KDa. Simple Western image submitted by a verified customer review.
Supportive validation
- Submitted by
- Novus Biologicals (provider)
- Main image

- Experimental details
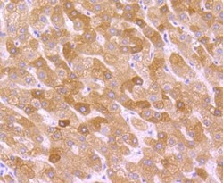
- Immunohistochemistry-Paraffin: Cytochrome P450 2D6 Antibody (JM44-23) [NBP2-67020] - Analysis of paraffin-embedded human liver tissue using anti-Cytochrome P450 2D6 antibody. Counter stained with hematoxylin.
- Submitted by
- Novus Biologicals (provider)
- Main image

- Experimental details
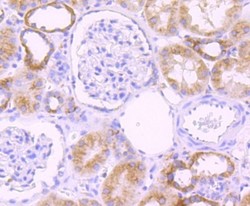
- Immunohistochemistry-Paraffin: Cytochrome P450 2D6 Antibody (JM44-23) [NBP2-67020] - Analysis of paraffin-embedded human kidney tissue using anti-Cytochrome P450 2D6 antibody. Counter stained with hematoxylin.