Antibody data
- Antibody Data
 - Antigen structure
 - References [0]
 - Comments [0]
 - Validations
 - Western blot [1]
 - Immunohistochemistry [1]
 
Submit
Validation data
Reference
Comment
Report error
- Product number
 - EB07028 - Provider product page

 - Provider
 - Everest Biotech
 - Proper citation
 - Everest Biotech Cat#EB07028, RRID:AB_2109539
 - Product name
 - Goat anti-FZD8 / frizzled 8 Antibody
 - Antibody type
 - Polyclonal
 - Description
 - Goat anti-FZD8 / frizzled 8 Antibody
 - Reactivity
 - Human
 - Host
 - Goat
 - Antigen sequence
 C-SYPKQMPLSQV- Epitope
 - C Terminus
 - Isotype
 - IgG
 - Vial size
 - 100µg specific antibody in 200µl
 - Concentration
 - 0.5 mg/ml
 - Storage
 - Aliquot and store at -20°C. Minimize freezing and thawing.
 
				No comments: Submit comment	
	
			
							
					Supportive validation
					
									
				
				- Submitted by
 - Everest Biotech (provider)
 - Main image
 
- Experimental details
 - EB07028 (1µg/ml) staining of human pancreas lysate (35µg protein in RIPA buffer). Primary incubation was 1 hour. Detected by chemiluminescence.
 
							
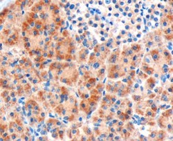
					Supportive validation
					
									
				
		- Submitted by
 - Everest Biotech (provider)
 - Main image
 
- Experimental details
 - EB07028 (3µg/ml) staining of paraffin embedded Human Pancreas. Microwaved antigen retrieval with Tris/EDTA buffer pH9, HRP-