Antibody data
- Antibody Data
 - Antigen structure
 - References [0]
 - Comments [0]
 - Validations
 - Western blot [5]
 - Immunohistochemistry [2]
 
Submit
Validation data
Reference
Comment
Report error
- Product number
 - 55093-1-AP - Provider product page

 - Provider
 - Invitrogen Antibodies
 - Product name
 - Frizzled 8 Polyclonal Antibody
 - Antibody type
 - Polyclonal
 - Antigen
 - Synthetic peptide
 - Reactivity
 - Human, Mouse
 - Host
 - Rabbit
 - Isotype
 - IgG
 - Vial size
 - 150 µL
 - Concentration
 - 0.27 mg/mL
 - Storage
 - -20°C
 
				No comments: Submit comment	
	
			
							
					Supportive validation
					
									
				
				- Submitted by
 - Invitrogen Antibodies (provider)
 - Main image
 
- Experimental details
 - WB result of 55093-1-AP (Frizzled 8 antibody).
 
- Submitted by
 - Invitrogen Antibodies (provider)
 - Main image
 
- Experimental details
 - Mouse lung tissue were subjected to SDS PAGE followed by western blot with 55093-1-AP (Frizzled 8 antibody) at dilution of 1:200 incubated at room temperature for 1.5 hours.
 
- Submitted by
 - Invitrogen Antibodies (provider)
 - Main image
 
- Experimental details
 - Mouse heart tissue were subjected to SDS PAGE followed by western blot with 55093-1-AP (Frizzled 8 antibody) at dilution of 1:200 incubated at room temperature for 1.5 hours.
 
- Submitted by
 - Invitrogen Antibodies (provider)
 - Main image
 
- Experimental details
 - Mouse embryo tissue were subjected to SDS PAGE followed by western blot with 55093-1-AP (Frizzled 8 antibody at dilution of 1:600 incubated at room temperature for 1.5 hours.
 
- Submitted by
 - Invitrogen Antibodies (provider)
 - Main image
 
- Experimental details
 - HeLa cells were subjected to SDS PAGE followed by western blot with 55093-1-AP ( Frizzled 8 antibody at dilution of 1:600 incubated at room temperature for 1.5 hours.
 
							
					Supportive validation
					
									
				
		- Submitted by
 - Invitrogen Antibodies (provider)
 - Main image
 
- Experimental details
 - Immunohistochemistry of paraffin-embedded human pancreas cancer tissue slide using 55093-1-AP ( Frizzled 8 antibody at dilution of 1:200 (under 10x lens). heat mediated antigen retrieved with Tris-EDTA buffer (pH 9).
 
- Submitted by
 - Invitrogen Antibodies (provider)
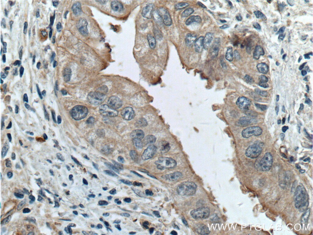
 - Main image
 
- Experimental details
 - Immunohistochemistry of paraffin-embedded human pancreas cancer tissue slide using 55093-1-AP ( Frizzled 8 antibody at dilution of 1:200 (under 40x lens). heat mediated antigen retrieved with Tris-EDTA buffer (pH 9).