Antibody data
- Antibody Data
- Antigen structure
- References [0]
- Comments [0]
- Validations
- Western blot [2]
- Immunocytochemistry [2]
- Immunohistochemistry [6]
Submit
Validation data
Reference
Comment
Report error
- Product number
- R31721 - Provider product page

- Provider
- NSJ Bioreagents
- Product name
- DJ-1 Antibody / PARK7
- Antibody type
- Polyclonal
- Description
- This highly specific DJ-1 antibody is suitable for use in Western blot/Immunohistochemistry applications with human, mouse and rat samples.
- Reactivity
- Human, Mouse, Rat
- Host
- Rabbit
- Conjugate
- Unconjugated
- Vial size
- 100 ug
- Concentration
- 0.5mg/ml if reconstituted with 0.2ml sterile DI water
- Storage
- After reconstitution, the DJ-1 antibody can be stored for up to one month at 4oC. For long-term, aliquot and store at -20oC. Avoid repeated freezing and thawing.
No comments: Submit comment
Supportive validation
- Submitted by
- NSJ Bioreagents (provider)
- Main image

- Experimental details
- Western blot testing of DJ-1 antibody and human samples 1: PANC; 2: U20S; 3: SMMC-7721; 4: HeLa lysate. Predicted/observed size ~20KD
- Submitted by
- NSJ Bioreagents (provider)
- Main image

- Experimental details
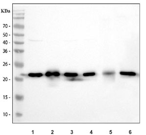
- Western blot testing 1) human 293T, 2) human PANC-1, 3) human HeLa, 4) human U-251, 5) rat kidney and 6) mouse kidney tissue lysate with DJ-1 antibody. Predicted molecular weight ~20 kDa.
Supportive validation
- Submitted by
- NSJ Bioreagents (provider)
- Main image

- Experimental details
- ICC testing of human A549 cells with DJ-1 antibody.
- Submitted by
- NSJ Bioreagents (provider)
- Main image

- Experimental details
- ICC testing of human A549 cells with DJ-1 antibody.
Supportive validation
- Submitted by
- NSJ Bioreagents (provider)
- Main image

- Experimental details
- IHC-P: DJ-1 antibody testing of human pancreatic cancer tissue. HIER: steamed with pH6 citrate buffer.
- Submitted by
- NSJ Bioreagents (provider)
- Main image

- Experimental details
- IHC-P: DJ-1 antibody testing of mouse pancreas tissue. HIER: steamed with pH6 citrate buffer.
- Submitted by
- NSJ Bioreagents (provider)
- Main image

- Experimental details
- IHC-P: DJ-1 antibody testing of rat pancreas tissue. HIER: steamed with pH6 citrate buffer.
- Submitted by
- NSJ Bioreagents (provider)
- Main image

- Experimental details
- IHC-P: DJ-1 antibody testing of human pancreatic cancer tissue. HIER: steamed with pH6 citrate buffer.
- Submitted by
- NSJ Bioreagents (provider)
- Main image

- Experimental details
- IHC-P: DJ-1 antibody testing of mouse pancreas tissue. HIER: steamed with pH6 citrate buffer.
- Submitted by
- NSJ Bioreagents (provider)
- Main image

- Experimental details
- IHC-P: DJ-1 antibody testing of rat pancreas tissue. HIER: steamed with pH6 citrate buffer.