Antibody data
- Antibody Data
- Antigen structure
- References [2]
- Comments [0]
- Validations
- Immunohistochemistry [1]
Submit
Validation data
Reference
Comment
Report error
- Product number
- PB9550 - Provider product page

- Provider
- Boster Biological Technology
- Product name
- Anti-Daxx Antibody Picoband™
- Antibody type
- Polyclonal
- Description
- Polyclonal antibody for DAXX detection. Host: Rabbit.Size: 100μg/vial. Tested applications: WB, IHC-P, ICC, ICC/IF, FCM. Reactive species: Human;Rat. DAXX information: Molecular Weight: 81373 MW; Subcellular Localization: Cytoplasm. Nucleus, nucleoplasm. Nucleus, PML body . Nucleus, nucleolus. Chromosome, centromere. Dispersed throughout the nucleoplasm, in PML/POD/ND10 nuclear bodies, and in nucleoli. Colocalizes with histone H3.3, ATRX, HIRA and ASF1A at PML-nuclear bodies. Colocalizes with a subset of interphase centromeres, but is absent from mitotic centromeres. Detected in cytoplasmic punctate structures. Translocates from the nucleus to the cytoplasm upon glucose deprivation or oxidative stress. Colocalizes with RASSF1 in the nucleus. Colocalizes with USP7 in nucleoplasma with accumulation in speckled structures; Tissue Specificity: Ubiquitous.
- Reactivity
- Human, Rat
- Host
- Rabbit
- Vial size
- 100μg/vial
- Concentration
- Add 0.2ml of distilled water will yield a concentration of 500ug/ml.
- Storage
- At -20°C for one year. After reconstitution, at 4°C for one month. It can also be aliquoted and stored frozen at -20°C for a longer time. Avoid repeated freezing and thawing.
- Handling
- Add 0.2ml of distilled water will yield a concentration of 500ug/ml.
Submitted references Tanshinone IIA inhibits cardiomyocyte apoptosis and rescues cardiac function during doxorubicin-induced cardiotoxicity by activating the DAXX/MEK/ERK1/2 pathway.
Association of Mental Health-Related Proteins DAXX, DRD3, and DISC1 With the Progression and Prognosis of Chondrosarcoma.
Xu L, He D, Wu Y, Shen L, Wang Y, Xu Y
Phytomedicine : international journal of phytotherapy and phytopharmacology 2022 Dec;107:154471
Phytomedicine : international journal of phytotherapy and phytopharmacology 2022 Dec;107:154471
Association of Mental Health-Related Proteins DAXX, DRD3, and DISC1 With the Progression and Prognosis of Chondrosarcoma.
He L, Shi X, Chen R, Wu Z, Yang Z, Li Z
Frontiers in molecular biosciences 2019;6:134
Frontiers in molecular biosciences 2019;6:134
No comments: Submit comment
Supportive validation
- Submitted by
- Boster Biological Technology (provider)
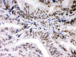
- Main image

- Experimental details
- Anti- DAXX Picoband antibody, PB9550,IHC(P)IHC(P): Rat Intestine Tissue
- Additional image
