Antibody data
- Antibody Data
- Antigen structure
- References [0]
- Comments [0]
- Validations
- Immunocytochemistry [1]
- Immunohistochemistry [1]
- Flow cytometry [1]
- Other assay [1]
Submit
Validation data
Reference
Comment
Report error
- Product number
- 1616-MSM15-P0 - Provider product page

- Provider
- Invitrogen Antibodies
- Product name
- DAXX Monoclonal Antibody (PCRP-DAXX-8C2)
- Antibody type
- Monoclonal
- Antigen
- Recombinant full-length protein
- Reactivity
- Human
- Host
- Mouse
- Isotype
- IgG
- Antibody clone number
- PCRP-DAXX-8C2
- Vial size
- 20 µg
- Concentration
- 200 µg/mL
- Storage
- 4° C
No comments: Submit comment
Supportive validation
- Submitted by
- Invitrogen Antibodies (provider)
- Main image

- Experimental details
- Immunocytochemistry/Immunofluorescence analysis of PFA-fixed HeLa cells using DAXX Monoclonal Antibody (Product # 1616-MSM15-P1) followed by goat anti-mouse IgG-CF488 (green)..
Supportive validation
- Submitted by
- Invitrogen Antibodies (provider)
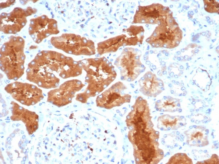
- Main image

- Experimental details
- Immunohistochemistry (Paraffin) analysis performed in formalin fixed, paraffin-embedded human kidney using DAXX Monoclonal Antibody (Product # 1616-MSM15-P1).
Supportive validation
- Submitted by
- Invitrogen Antibodies (provider)
- Main image

- Experimental details
- Flow Cytometry analysis of PFA-fixed HeLa cells using DAXX Monoclonal Antibody (Product # 1616-MSM15-P1) followed by goat anti-mouse IgG-CF488 (blue); unstained cells (red).
Supportive validation
- Submitted by
- Invitrogen Antibodies (provider)
- Main image

- Experimental details
- SDS-PAGE Analyis Purified DAXX Monoclonal Antibody (Product # 1616-MSM15-P1). Confirmation of Purity and Integrity of Antibody.