Antibody data
- Antibody Data
- Antigen structure
- References [0]
- Comments [0]
- Validations
- Western blot [1]
- Immunohistochemistry [3]
Submit
Validation data
Reference
Comment
Report error
- Product number
- NBP2-75546 - Provider product page

- Provider
- Novus Biologicals
- Product name
- Rabbit Monoclonal JAB1 Antibody
- Antibody type
- Monoclonal
- Description
- Protein A purified.
- Reactivity
- Human, Mouse, Rat
- Host
- Rabbit
- Isotype
- IgG
- Vial size
- 100 ul
- Storage
- Store at 4C short term. Aliquot and store at -20C long term. Avoid freeze-thaw cycles.
No comments: Submit comment
Supportive validation
- Submitted by
- Novus Biologicals (provider)
- Main image

- Experimental details
- Western Blot: JAB1 Antibody (JB34-96) [NBP2-75546] - Analysis of JAB1 on different lysate using anti-JAB1 antibody at 1/500 dilution. Positive control: Lane 1: Mouse testis tissue Lane 2: PC-3M Lane 3: A549
Supportive validation
- Submitted by
- Novus Biologicals (provider)
- Main image

- Experimental details
- Immunohistochemistry-Paraffin: JAB1 Antibody (JB34-96) [NBP2-75546] - Analysis of paraffin-embedded human kidney tissue using anti-JAB1 antibody. Counter stained with hematoxylin.
- Submitted by
- Novus Biologicals (provider)
- Main image

- Experimental details
- Immunohistochemistry-Paraffin: JAB1 Antibody (JB34-96) [NBP2-75546] - Analysis of paraffin-embedded mouse testis tissue using anti-JAB1 antibody. Counter stained with hematoxylin.
- Submitted by
- Novus Biologicals (provider)
- Main image

- Experimental details
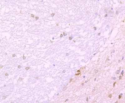
- Immunohistochemistry-Paraffin: JAB1 Antibody (JB34-96) [NBP2-75546] - Analysis of paraffin-embedded rat brain tissue using anti-JAB1 antibody. Counter stained with hematoxylin.