Antibody data
- Antibody Data
- Antigen structure
- References [2]
- Comments [0]
- Validations
- Western blot [2]
- Immunohistochemistry [9]
Submit
Validation data
Reference
Comment
Report error
- Product number
- NBP1-87244 - Provider product page

- Provider
- Novus Biologicals
- Proper citation
- Novus Cat#NBP1-87244, RRID:AB_11006472
- Product name
- Rabbit Polyclonal NAPRT1 Antibody
- Antibody type
- Polyclonal
- Description
- Immunogen affinity purified. Specificity of human NAPRT1 antibody verified on a Protein Array containing target protein plus 383 other non-specific proteins.
- Reactivity
- Human, Mouse
- Host
- Rabbit
- Isotype
- IgG
- Vial size
- 0.1 ml
- Storage
- Store at 4C short term. Aliquot and store at -20C long term. Avoid freeze-thaw cycles.
Submitted references Dependence of tumor cell lines and patient-derived tumors on the NAD salvage pathway renders them sensitive to NAMPT inhibition with GNE-618.
Dependence of tumor cell lines and patient-derived tumors on the NAD salvage pathway renders them sensitive to NAMPT inhibition with GNE-618.
Xiao Y, Elkins K, Durieux JK, Lee L, Oeh J, Yang LX, Liang X, DelNagro C, Tremayne J, Kwong M, Liederer BM, Jackson PK, Belmont LD, Sampath D, O'Brien T
Neoplasia (New York, N.Y.) 2013 Oct;15(10):1151-60
Neoplasia (New York, N.Y.) 2013 Oct;15(10):1151-60
Dependence of tumor cell lines and patient-derived tumors on the NAD salvage pathway renders them sensitive to NAMPT inhibition with GNE-618.
Xiao Y, Elkins K, Durieux JK, Lee L, Oeh J, Yang LX, Liang X, DelNagro C, Tremayne J, Kwong M, Liederer BM, Jackson PK, Belmont LD, Sampath D, O'Brien T
Neoplasia (New York, N.Y.) 2013 Oct;15(10):1151-60
Neoplasia (New York, N.Y.) 2013 Oct;15(10):1151-60
No comments: Submit comment
Supportive validation
- Submitted by
- Novus Biologicals (provider)
- Main image

- Experimental details
- Western Blot: NAPRT1 Antibody [NBP1-87244] - Lane 1: Marker [kDa] 230, 130, 95, 72, 56, 36, 28, 17, 11. Lane 2: Human cell line RT-374
- Submitted by
- Novus Biologicals (provider)
- Main image

- Experimental details
- Western Blot: NAPRT1 Antibody [NBP1-87244] - Analysis using Anti-NAPRT antibody NBP1-87244 (A) shows similar pattern to independent antibody NBP1-87243 (B).
Supportive validation
- Submitted by
- Novus Biologicals (provider)
- Main image

- Experimental details
- Immunohistochemistry-Paraffin: NAPRT1 Antibody [NBP1-87244] - Staining of human kidney shows strong cytoplasmic and nuclear positivity in cells in tubules.
- Submitted by
- Novus Biologicals (provider)
- Main image

- Experimental details
- Immunohistochemistry-Paraffin: NAPRT1 Antibody [NBP1-87244] - Staining of human duodenum shows high expression.
- Submitted by
- Novus Biologicals (provider)
- Main image

- Experimental details
- Immunohistochemistry-Paraffin: NAPRT1 Antibody [NBP1-87244] - Staining of human skeletal muscle shows low expression as expected.
- Submitted by
- Novus Biologicals (provider)
- Main image

- Experimental details
- Immunohistochemistry-Paraffin: NAPRT1 Antibody [NBP1-87244] - Staining in human duodenum and skeletal muscle tissues using anti-NAPRT antibody. Corresponding NAPRT RNA-seq data are presented for the same tissues.
- Submitted by
- Novus Biologicals (provider)
- Main image

- Experimental details
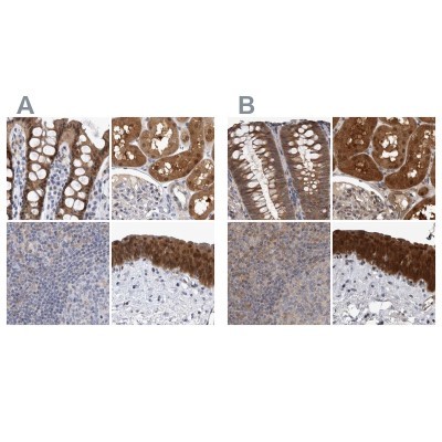
- Immunohistochemistry-Paraffin: NAPRT1 Antibody [NBP1-87244] - Staining of human colon, kidney, lymph node and urinary bladder using Anti-NAPRT antibody NBP1-87244 (A) shows similar protein distribution across tissues to independent antibody NBP1-87243 (B).
- Submitted by
- Novus Biologicals (provider)
- Main image

- Experimental details
- Immunohistochemistry-Paraffin: NAPRT1 Antibody [NBP1-87244] - Staining of human urinary bladder.
- Submitted by
- Novus Biologicals (provider)
- Main image

- Experimental details
- Immunohistochemistry-Paraffin: NAPRT1 Antibody [NBP1-87244] - Staining of human lymph node.
- Submitted by
- Novus Biologicals (provider)
- Main image

- Experimental details
- Immunohistochemistry-Paraffin: NAPRT1 Antibody [NBP1-87244] - Staining of human colon.
- Submitted by
- Novus Biologicals (provider)
- Main image

- Experimental details
- Immunohistochemistry-Paraffin: NAPRT1 Antibody [NBP1-87244] - Staining of human kidney.