Antibody data
- Antibody Data
- Antigen structure
- References [1]
- Comments [0]
- Validations
- Immunohistochemistry [1]
Submit
Validation data
Reference
Comment
Report error
- Product number
- sc-25772 - Provider product page

- Provider
- Santa Cruz Biotechnology
- Proper citation
- Santa Cruz Biotechnology Cat#sc-25772, RRID:AB_2206956
- Product name
- Anti-TNFRSF21
- Antibody type
- Polyclonal
- Antigen
- Recombinant full-length protein
- Reactivity
- Human
- Host
- Rabbit
Submitted references Death receptor 6 negatively regulates oligodendrocyte survival, maturation and myelination
Sha Mi, Xinhua Lee, Yinghui Hu, Benxiu Ji, Zhaohui Shao, Weixing Yang, Guanrong Huang, Lee Walus, Kenneth Rhodes, Bang Jian Gong, Robert H Miller, R Blake Pepinsky
Nature Medicine 2011 Jul;17(7):816-821
Nature Medicine 2011 Jul;17(7):816-821
No comments: Submit comment
Supportive validation
- Submitted by
- per
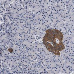
- Main image

- Experimental details
- Immunohistochemical staining of human pancreas shows strong cytoplasmic positivity in islet cells.
- Validation comment
- Staining pattern partly consistent with experimental and/or bioinformatic data.