Antibody data
- Antibody Data
- Antigen structure
- References [0]
- Comments [0]
- Validations
- Western blot [1]
Submit
Validation data
Reference
Comment
Report error
- Product number
- PB10039 - Provider product page

- Provider
- Boster Biological Technology
- Product name
- Anti-AMFR Antibody Picoband™
- Antibody type
- Polyclonal
- Description
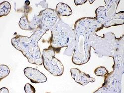
- Polyclonal antibody for GP78/AMFR detection. Host: Rabbit.Size: 100μg/vial. Tested applications: IHC-P. Reactive species: Human. GP78/AMFR information: Molecular Weight: 72996 MW; Subcellular Localization: Endoplasmic reticulum membrane ; Multi-pass membrane protein .
- Reactivity
- Human, Mouse, Rat
- Host
- Rabbit
- Vial size
- 100μg/vial
- Concentration
- Add 0.2ml of distilled water will yield a concentration of 500ug/ml.
- Storage
- At -20°C for one year. After reconstitution, at 4°C for one month. It can also be aliquoted and stored frozen at -20°C for a longer time. Avoid repeated freezing and thawing.
- Handling
- Add 0.2ml of distilled water will yield a concentration of 500ug/ml.
No comments: Submit comment
Supportive validation
- Submitted by
- Boster Biological Technology (provider)
- Main image

- Experimental details
- Western blot analysis of AMFR expression in rat thymus extract (lane 1) and HELA whole cell lysates (lane 2). AMFR at 78KD was detected using rabbit anti- AMFR Antigen Affinity purified polyclonal antibody (Catalog # PB10039) at 0.5 μg/mL. The blot was developed using chemiluminescence (ECL) method (Catalog # EK1002).
- Additional image
