Antibody data
- Antibody Data
- Antigen structure
- References [8]
- Comments [0]
- Validations
- Western blot [1]
- Immunohistochemistry [1]
Submit
Validation data
Reference
Comment
Report error
- Product number
- NBP1-71706 - Provider product page

- Provider
- Novus Biologicals
- Proper citation
- Novus Cat#NBP1-71706, RRID:AB_11022553
- Product name
- Mouse Monoclonal ABCG8 Antibody
- Antibody type
- Monoclonal
- Description
- Protein G purified.
- Reactivity
- Human, Mouse
- Host
- Mouse
- Isotype
- IgG
- Vial size
- 0.1 ml
- Concentration
- 1 mg/ml
- Storage
- Store at 4C short term. Aliquot and store at -20C long term. Avoid freeze-thaw cycles.
Submitted references Sphingolipid de novo biosynthesis is essential for intestine cell survival and barrier function.
Hepatic Mttp deletion reverses gallstone susceptibility in L-Fabp knockout mice.
Genetic and functional identification of the likely causative variant for cholesterol gallstone disease at the ABCG5/8 lithogenic locus.
Sequences in the nonconsensus nucleotide-binding domain of ABCG5/ABCG8 required for sterol transport.
Bile acids stimulate ATP hydrolysis in the purified cholesterol transporter ABCG5/G8.
Purification and reconstitution of sterol transfer by native mouse ABCG5 and ABCG8.
Functional asymmetry of nucleotide-binding domains in ABCG5 and ABCG8.
ABCG5 and ABCG8 are obligate heterodimers for protein trafficking and biliary cholesterol excretion.
Li Z, Kabir I, Tietelman G, Huan C, Fan J, Worgall T, Jiang XC
Cell death & disease 2018 Feb 7;9(2):173
Cell death & disease 2018 Feb 7;9(2):173
Hepatic Mttp deletion reverses gallstone susceptibility in L-Fabp knockout mice.
Xie Y, Fung HY, Newberry EP, Kennedy S, Luo J, Crooke RM, Graham MJ, Davidson NO
Journal of lipid research 2014 Mar;55(3):540-8
Journal of lipid research 2014 Mar;55(3):540-8
Genetic and functional identification of the likely causative variant for cholesterol gallstone disease at the ABCG5/8 lithogenic locus.
von Kampen O, Buch S, Nothnagel M, Azocar L, Molina H, Brosch M, Erhart W, von Schönfels W, Egberts J, Seeger M, Arlt A, Balschun T, Franke A, Lerch MM, Mayerle J, Kratzer W, Boehm BO, Huse K, Schniewind B, Tiemann K, Jiang ZY, Han TQ, Mittal B, Srivastava A, Fenger M, Jørgensen T, Schirin-Sokhan R, Tönjes A, Wittenburg H, Stumvoll M, Kalthoff H, Lammert F, Tepel J, Puschel K, Becker T, Schreiber S, Platzer M, Völzke H, Krawczak M, Miquel JF, Schafmayer C, Hampe J
Hepatology (Baltimore, Md.) 2013 Jun;57(6):2407-17
Hepatology (Baltimore, Md.) 2013 Jun;57(6):2407-17
Sequences in the nonconsensus nucleotide-binding domain of ABCG5/ABCG8 required for sterol transport.
Wang J, Grishin N, Kinch L, Cohen JC, Hobbs HH, Xie XS
The Journal of biological chemistry 2011 Mar 4;286(9):7308-14
The Journal of biological chemistry 2011 Mar 4;286(9):7308-14
Bile acids stimulate ATP hydrolysis in the purified cholesterol transporter ABCG5/G8.
Johnson BJ, Lee JY, Pickert A, Urbatsch IL
Biochemistry 2010 Apr 27;49(16):3403-11
Biochemistry 2010 Apr 27;49(16):3403-11
Purification and reconstitution of sterol transfer by native mouse ABCG5 and ABCG8.
Wang J, Zhang DW, Lei Y, Xu F, Cohen JC, Hobbs HH, Xie XS
Biochemistry 2008 May 6;47(18):5194-204
Biochemistry 2008 May 6;47(18):5194-204
Functional asymmetry of nucleotide-binding domains in ABCG5 and ABCG8.
Zhang DW, Graf GA, Gerard RD, Cohen JC, Hobbs HH
The Journal of biological chemistry 2006 Feb 17;281(7):4507-16
The Journal of biological chemistry 2006 Feb 17;281(7):4507-16
ABCG5 and ABCG8 are obligate heterodimers for protein trafficking and biliary cholesterol excretion.
Graf GA, Yu L, Li WP, Gerard R, Tuma PL, Cohen JC, Hobbs HH
The Journal of biological chemistry 2003 Nov 28;278(48):48275-82
The Journal of biological chemistry 2003 Nov 28;278(48):48275-82
No comments: Submit comment
Supportive validation
- Submitted by
- Novus Biologicals (provider)
- Main image

- Experimental details
- Western Blot: ABCG8 Antibody (1B10A5) [NBP1-71706] - Analysis of ABCG8 expression in ABCG8 lysate using NBP1-71706.
Supportive validation
- Submitted by
- Novus Biologicals (provider)
- Main image

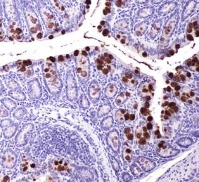
- Experimental details
- Immunohistochemistry: ABCG8 Antibody (1B10A5) [NBP1-71706] - Immunohistochemical analysis of ABCG8 in mouse intestine using NBP1-71706.