Antibody data
- Antibody Data
- Antigen structure
- References [0]
- Comments [0]
- Validations
- Western blot [1]
- Immunohistochemistry [1]
Submit
Validation data
Reference
Comment
Report error
- Product number
- PAB19421 - Provider product page

- Provider
- Abnova Corporation
- Proper citation
- Abnova Corporation Cat#PAB19421, RRID:AB_10902891
- Product name
- PION polyclonal antibody
- Antibody type
- Polyclonal
- Description
- Rabbit polyclonal antibody raised against synthetic peptide of PION.
- Storage
- Store at 4°C for three months. For long term storage store at -20°C.Aliquot to avoid repeated freezing and thawing.
No comments: Submit comment
Supportive validation
- Submitted by
- Abnova Corporation (provider)
- Main image

- Experimental details
- Western blot analysis of PION in EL4 cell lysate with PION polyclonal antibody (Cat # PAB19421) at 0.25 ug/mL.Lane 1 : The absence of blocking peptide.Lane 2 : The presence of blocking peptide.
Supportive validation
- Submitted by
- Abnova Corporation (provider)
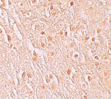
- Main image

- Experimental details
- Immunohistochemical staining of human brain cells with PION polyclonal antibody (Cat # PAB19421) at 5 ug/mL.
- Validation comment
- Immunohistochemistry