28384-1-AP
antibody from Invitrogen Antibodies
		Targeting: UPF1
		
		HUPF1, KIAA0221, NORF1, pNORF1, RENT1, smg-2	
	
	
	
	
Antibody data
- Antibody Data
 - Antigen structure
 - References [0]
 - Comments [0]
 - Validations
 - Western blot [1]
 - Immunohistochemistry [2]
 
Submit
Validation data
Reference
Comment
Report error
- Product number
 - 28384-1-AP - Provider product page

 - Provider
 - Invitrogen Antibodies
 - Product name
 - UPF1 Polyclonal Antibody
 - Antibody type
 - Polyclonal
 - Antigen
 - Other
 - Reactivity
 - Human
 - Host
 - Rabbit
 - Isotype
 - IgG
 - Vial size
 - 150 µL
 - Concentration
 - 267 µg/mL
 - Storage
 - -20°C
 
				No comments: Submit comment	
	
			
							
					Supportive validation
					
									
				
				- Submitted by
 - Invitrogen Antibodies (provider)
 - Main image
 
- Experimental details
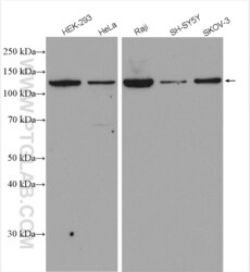
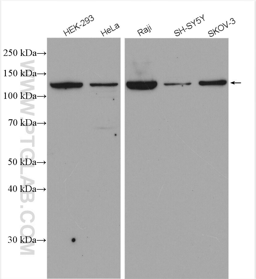
 - Various lysates were subjected to SDS PAGE followed by western blot with 28384-1-AP (UPF1 antibody) at dilution of 1:1000 incubated at room temperature for 1.5 hours.
 
							
					Supportive validation
					
									
				
		- Submitted by
 - Invitrogen Antibodies (provider)
 - Main image
 
- Experimental details
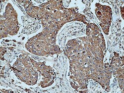
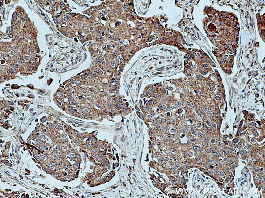
 - Immunohistochemical analysis of paraffin-embedded human breast cancer tissue slide using 28384-1-AP (UPF1 antibody) at dilution of 1:200 (under 10x lens). Heat mediated antigen retrieval with Tris-EDTA buffer (pH 9.0).
 
- Submitted by
 - Invitrogen Antibodies (provider)
 - Main image
 
- Experimental details
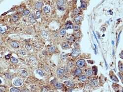
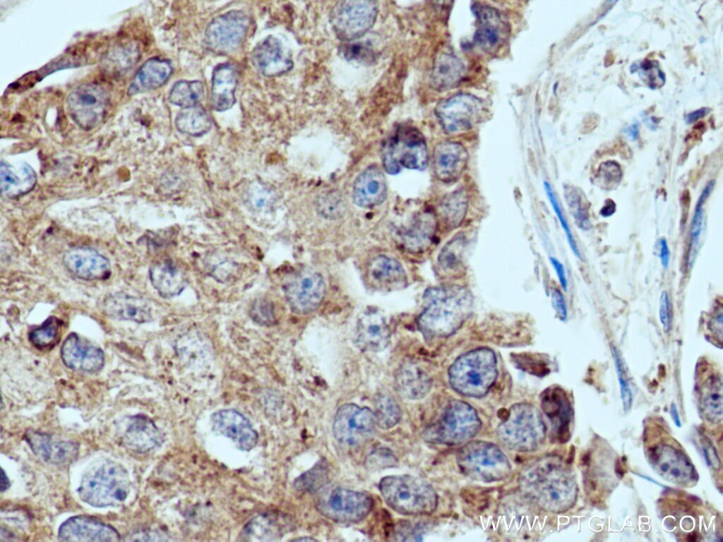
 - Immunohistochemical analysis of paraffin-embedded human breast cancer tissue slide using 28384-1-AP (UPF1 antibody) at dilution of 1:200 (under 40x lens). Heat mediated antigen retrieval with Tris-EDTA buffer (pH 9.0).