Antibody data
- Antibody Data
- Antigen structure
- References [0]
- Comments [0]
- Validations
- Immunohistochemistry [1]
Submit
Validation data
Reference
Comment
Report error
- Product number
- 22612 - Provider product page

- Provider
- Signalway Antibody LLC
- Proper citation
- Signalway Cat#22612, RRID:AB_11123491
- Product name
- Argininosuccinate Lyase antibody
- Antibody type
- Polyclonal
- Antigen
- Recombinant protein fragment contain a sequence corresponding to a region within amino acids 13 and 231 of Argininosuccinate Lyase
- Host
- Rabbit
- Conjugate
- Unconjugated
- Vial size
- 100µl
No comments: Submit comment
Supportive validation
- Submitted by
- Signalway Antibody LLC (provider)
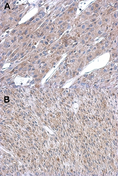
- Main image

- Experimental details
- A:Immunohistochemical analysis of paraffin-embedded U87 xenograft, using ASL antibody at 1: 500 dilution. B:Immunohistochemical analysis of paraffin-embedded C2C12 xenograft, using ASL antibody at 1: 500 dilution.