Antibody data
- Antibody Data
- Antigen structure
- References [1]
- Comments [0]
- Validations
- Western blot [1]
- Immunohistochemistry [1]
Submit
Validation data
Reference
Comment
Report error
- Product number
- ABIN1108699 - Provider product page

- Provider
- antibodies-online
- Product name
- anti-POU Class 1 Homeobox 1 (POU1F1) antibody
- Antibody type
- Polyclonal
- Antigen
- Other
- Reactivity
- Human, Mouse, Rat, Bovine, Canine, Chicken/Avian, Porcine
- Host
- Rabbit
- Vial size
- 50 µg
Submitted references Borjeson-Forssman-Lehmann syndrome: a novel pituitary phenotype due to mutation in a novel gene.
Dattani MT
Journal of pediatric endocrinology & metabolism : JPEM 2003 Dec;16(9):1207-9
Journal of pediatric endocrinology & metabolism : JPEM 2003 Dec;16(9):1207-9
No comments: Submit comment
Supportive validation
- Submitted by
- antibodies-online (provider)
- Main image

- Experimental details
- Human HepG2; WB Suggested Anti-POU1F1 Antibody Titration: 0.2-1 ug/ml. ELISA Titer: 1:12500. Positive Control: HepG2 cell lysate; POU1F1 antibody - C-terminal region (AP42024PU-N) in Human HepG2 cells using Western Blot
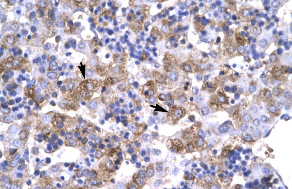
Supportive validation
- Submitted by
- antibodies-online (provider)
- Main image

- Experimental details
- Human Liver; Rabbit Anti-POU1F1 Antibody. Paraffin Embedded Tissue: Human Liver. Cellular Data: Hepatocyte. Antibody Concentration: 4.0-8.0 ug/ml. Magnification: 400X; POU1F1 antibody - C-terminal region (AP42024PU-N) in Human Liver cells using Immunohistochemistry