Antibody data
- Antibody Data
- Antigen structure
- References [0]
- Comments [0]
- Validations
- Western blot [1]
- ELISA [1]
- Immunohistochemistry [2]
Submit
Validation data
Reference
Comment
Report error
- Product number
- LS-B4433 - Provider product page

- Provider
- LSBio
- Product name
- IHC-plus™ TOP2A / Topoisomerase II Alpha Antibody (clone 1E2) LS-B4433
- Antibody type
- Monoclonal
- Description
- Purified from ascites by Protein A
- Reactivity
- Human
- Host
- Mouse
- Isotype
- IgG
- Antibody clone number
- 1E2
- Storage
- Store at -20°C. Aliquot to avoid freeze/thaw cycles.
No comments: Submit comment
Supportive validation
- Submitted by
- LSBio (provider)
- Main image

- Experimental details
- TOP2A monoclonal antibody clone 1E2 Western blot of TOP2A expression in HeLa NE.
Supportive validation
- Submitted by
- LSBio (provider)
- Main image

- Experimental details
- Detection limit for recombinant GST tagged TOP2A is approximately 0.3 ng/ml as a capture antibody.
Supportive validation
- Submitted by
- LSBio (provider)
- Main image

- Experimental details
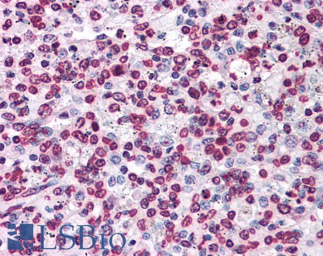
- Anti-TOP2A antibody IHC of human spleen. Immunohistochemistry of formalin-fixed, paraffin-embedded tissue after heat-induced antigen retrieval. Antibody concentration 5 ug/ml.
- Submitted by
- LSBio (provider)
- Main image

- Experimental details
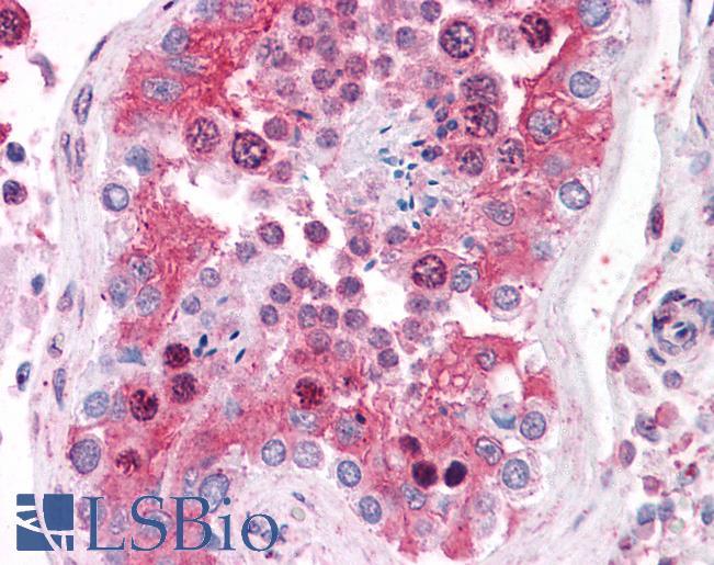
- Anti-TOP2A antibody IHC of human testis. Immunohistochemistry of formalin-fixed, paraffin-embedded tissue after heat-induced antigen retrieval. Antibody concentration 5 ug/ml.