Antibody data
- Antibody Data
- Antigen structure
- References [10]
- Comments [0]
- Validations
- Western blot [1]
- Immunohistochemistry [1]
Submit
Validation data
Reference
Comment
Report error
- Product number
- sc-197 - Provider product page

- Provider
- Santa Cruz Biotechnology
- Proper citation
- Santa Cruz Biotechnology Cat#sc-197, RRID:AB_2281783
- Product name
- Anti-MAX
- Antibody type
- Polyclonal (Antigen purified)
- Antigen
- Synthetic peptide
- Reactivity
- Human
- Host
- Rabbit
Submitted references Proteomic profiling of Myc-associated proteins.
Regulation of the Aurora-A gene following topoisomerase I inhibition: implication of the Myc transcription factor.
STAGA recruits Mediator to the MYC oncoprotein to stimulate transcription and cell proliferation.
Induction of Mxi1-SR alpha by FOXO3a contributes to repression of Myc-dependent gene expression.
Cooperation between Myc and YY1 provides novel silencing transcriptional targets of α3β1-integrin in tumour cells
Rybp/DEDAF is required for early postimplantation and for central nervous system development.
Overlapping CRE and E box motifs in the enhancer sequences of the bovine leukemia virus 5' long terminal repeat are critical for basal and acetylation-dependent transcriptional activity of the viral promoter: implications for viral latency.
A global transcriptional regulatory role for c-Myc in Burkitt's lymphoma cells.
Downstream E-box-mediated regulation of the human telomerase reverse transcriptase (hTERT) gene transcription: evidence for an endogenous mechanism of transcriptional repression.
Switch from Myc/Max to Mad1/Max binding and decrease in histone acetylation at the telomerase reverse transcriptase promoter during differentiation of HL60 cells.
Agrawal P, Yu K, Salomon AR, Sedivy JM
Cell cycle (Georgetown, Tex.) 2010 Dec 15;9(24):4908-21
Cell cycle (Georgetown, Tex.) 2010 Dec 15;9(24):4908-21
Regulation of the Aurora-A gene following topoisomerase I inhibition: implication of the Myc transcription factor.
Courapied S, Cherier J, Vigneron A, Troadec MB, Giraud S, Valo I, Prigent C, Gamelin E, Coqueret O, Barré B
Molecular cancer 2010 Aug 3;9:205
Molecular cancer 2010 Aug 3;9:205
STAGA recruits Mediator to the MYC oncoprotein to stimulate transcription and cell proliferation.
Liu X, Vorontchikhina M, Wang YL, Faiola F, Martinez E
Molecular and cellular biology 2008 Jan;28(1):108-21
Molecular and cellular biology 2008 Jan;28(1):108-21
Induction of Mxi1-SR alpha by FOXO3a contributes to repression of Myc-dependent gene expression.
Delpuech O, Griffiths B, East P, Essafi A, Lam EW, Burgering B, Downward J, Schulze A
Molecular and cellular biology 2007 Jul;27(13):4917-30
Molecular and cellular biology 2007 Jul;27(13):4917-30
Cooperation between Myc and YY1 provides novel silencing transcriptional targets of α3β1-integrin in tumour cells
F de Nigris, C Botti, R Rossiello, E Crimi, V Sica, C Napoli
Oncogene 2006 Jul;26(3):382-394
Oncogene 2006 Jul;26(3):382-394
Rybp/DEDAF is required for early postimplantation and for central nervous system development.
Pirity MK, Locker J, Schreiber-Agus N
Molecular and cellular biology 2005 Aug;25(16):7193-202
Molecular and cellular biology 2005 Aug;25(16):7193-202
Overlapping CRE and E box motifs in the enhancer sequences of the bovine leukemia virus 5' long terminal repeat are critical for basal and acetylation-dependent transcriptional activity of the viral promoter: implications for viral latency.
Calomme C, Dekoninck A, Nizet S, Adam E, Nguyên TL, Van Den Broeke A, Willems L, Kettmann R, Burny A, Van Lint C
Journal of virology 2004 Dec;78(24):13848-64
Journal of virology 2004 Dec;78(24):13848-64
A global transcriptional regulatory role for c-Myc in Burkitt's lymphoma cells.
Li Z, Van Calcar S, Qu C, Cavenee WK, Zhang MQ, Ren B
Proceedings of the National Academy of Sciences of the United States of America 2003 Jul 8;100(14):8164-9
Proceedings of the National Academy of Sciences of the United States of America 2003 Jul 8;100(14):8164-9
Downstream E-box-mediated regulation of the human telomerase reverse transcriptase (hTERT) gene transcription: evidence for an endogenous mechanism of transcriptional repression.
Horikawa I, Cable PL, Mazur SJ, Appella E, Afshari CA, Barrett JC
Molecular biology of the cell 2002 Aug;13(8):2585-97
Molecular biology of the cell 2002 Aug;13(8):2585-97
Switch from Myc/Max to Mad1/Max binding and decrease in histone acetylation at the telomerase reverse transcriptase promoter during differentiation of HL60 cells.
Xu D, Popov N, Hou M, Wang Q, Björkholm M, Gruber A, Menkel AR, Henriksson M
Proceedings of the National Academy of Sciences of the United States of America 2001 Mar 27;98(7):3826-31
Proceedings of the National Academy of Sciences of the United States of America 2001 Mar 27;98(7):3826-31
No comments: Submit comment
Supportive validation
- Submitted by
- per
- Main image

- Experimental details
- Western blot analysis of antibody specificity using a routine panel composed of IgG/HSA-depleted human plasma and protein lysates from selected human tissues and cell lines.
- Validation comment
- Band of predicted size in kDa (+/-20%) with additional bands present.
- Primary Ab dilution
- 1:500
- Secondary Ab dilution
- 1:3000
- Lane 1
- Marker [kDa]: 250, 130, 95, 72, 55, 36, 28, 17, 11
- Lane 2
- RT-4
- Lane 3
- U-251MG sp
- Lane 4
- Human Plasma
- Lane 5
- Liver
- Lane 6
- Tonsil
- Theoretical target weight
- [kDa] 11
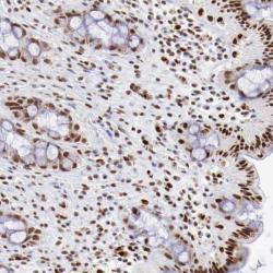
Supportive validation
- Submitted by
- per
- Main image

- Experimental details
- Immunohistochemical staining of human rectum shows strong nuclear positivity in glandular cells.
- Validation comment
- Two independent antibodies targeting one protein yielding similar staining patterns. Staining pattern consistent with experimental and/or bioinformatic data.