Antibody data
- Antibody Data
 - Antigen structure
 - References [0]
 - Comments [0]
 - Validations
 - Immunohistochemistry [6]
 
Submit
Validation data
Reference
Comment
Report error
- Product number
 - LS-C340441 - Provider product page

 - Provider
 - LSBio
 - Product name
 - ASB2 Antibody (aa1-300, clone OTI2A2) LS-C340441
 - Antibody type
 - Monoclonal
 - Description
 - Immunoaffinity purified
 - Reactivity
 - Human
 - Host
 - Mouse
 - Isotype
 - IgG
 - Antibody clone number
 - OTI2A2
 - Storage
 - Store at -20°C. Avoid freeze-thaw cycles.
 
				No comments: Submit comment	
	
			
							
					Supportive validation
					
									
				
		- Submitted by
 - LSBio (provider)
 - Enhanced method
 - Genetic validation
 - Main image
 
- Experimental details
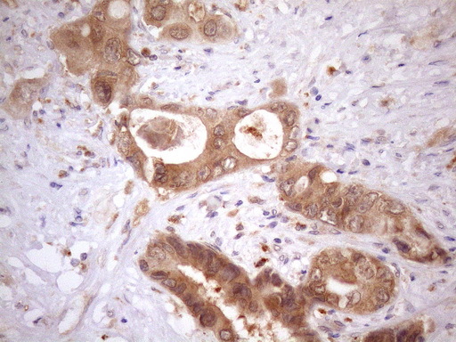
 - IHC of paraffin-embedded Adenocarcinoma of Human colon tissue using anti-ASB2 mouse monoclonal antibody. (Heat-induced epitope retrieval by Tris-EDTA, pH8.0)(1:150).
 
- Submitted by
 - LSBio (provider)
 - Enhanced method
 - Genetic validation
 - Main image
 
- Experimental details
 - IHC of paraffin-embedded Human thyroid tissue using anti-ASB2 mouse monoclonal antibody. (Heat-induced epitope retrieval by Tris-EDTA, pH8.0)(1:150).
 
- Submitted by
 - LSBio (provider)
 - Enhanced method
 - Genetic validation
 - Main image
 
- Experimental details
 - IHC of paraffin-embedded Adenocarcinoma of Human endometrium tissue using anti-ASB2 mouse monoclonal antibody. (Heat-induced epitope retrieval by Tris-EDTA, pH8.0)(1:150).
 
- Submitted by
 - LSBio (provider)
 - Enhanced method
 - Genetic validation
 - Main image
 
- Experimental details
 - IHC of paraffin-embedded Human thyroid tissue using anti-ASB2 mouse monoclonal antibody. (Heat-induced epitope retrieval by Tris-EDTA, pH8.0)(1:150).
 
- Submitted by
 - LSBio (provider)
 - Enhanced method
 - Genetic validation
 - Main image
 
- Experimental details
 - IHC of paraffin-embedded Adenocarcinoma of Human colon tissue using anti-ASB2 mouse monoclonal antibody. (Heat-induced epitope retrieval by Tris-EDTA, pH8.0)(1:150).
 
- Submitted by
 - LSBio (provider)
 - Enhanced method
 - Genetic validation
 - Main image
 
- Experimental details
 - IHC of paraffin-embedded Human thyroid tissue using anti-ASB2 mouse monoclonal antibody. (Heat-induced epitope retrieval by Tris-EDTA, pH8.0)(1:150).