Antibody data
- Antibody Data
- Antigen structure
- References [18]
- Comments [0]
- Validations
- Western blot [1]
- Immunocytochemistry [1]
- Immunohistochemistry [1]
Submit
Validation data
Reference
Comment
Report error
- Product number
- 12781-1-AP - Provider product page

- Provider
- Proteintech Group
- Proper citation
- Proteintech Cat#12781-1-AP, RRID:AB_2275326
- Product name
- CBLB antibody
- Antibody type
- Polyclonal
- Description
- CBLB antibody (Cat. #12781-1-AP) is a rabbit polyclonal antibody that shows reactivity with human, mouse, rat and has been validated for the following applications: IHC, IP, WB, ELISA.
- Reactivity
- Human, Mouse, Rat
- Host
- Rabbit
- Conjugate
- Unconjugated
- Isotype
- IgG
- Vial size
- 20ul, 150ul
Submitted references Biochanin A Mitigates Pressure Overload-Induced Cardiac Hypertrophy Through Modulation of the NF-κB/Cbl-b/NLRP3 Signaling Axis.
Kupffer cell calibration of T cell responses via VSIG4-CD5 interaction promotes tumor evasion.
E3 ubiquitination ligase XIAP lightens diabetes-induced cognitive impairment by inactivating TXNIP-ERS-mediated neuronal injury.
Oncoprotein-induced transcript 3 protein-enriched extracellular vesicles promotes NLRP3 ubiquitination to alleviate acute lung injury after cardiac surgery.
E3 ubiquitin ligase casitas B-lineage lymphoma-b modulates T-cell anergic resistance via phosphoinositide 3-kinase signaling in patients with immune thrombocytopenia.
TCR signaling promotes formation of an STS1-Cbl-b complex with pH-sensitive phosphatase activity that suppresses T cell function in acidic environments.
Mechanism of Yangxinshi Intervention on Cardiac Fibrosis in Diabetic Cardiomyopathy Based on Network Pharmacology.
Targeting the Cbl-b-Notch1 axis as a novel immunotherapeutic strategy to boost CD8+ T-cell responses.
miR-27b-3p Attenuates Muscle Atrophy by Targeting Cbl-b in Skeletal Muscles.
Ionic Liquid-Based Extraction System for In-Depth Analysis of Membrane Protein Complexes.
Cbl-b modulated TrkA ubiquitination and function in the dorsal root ganglion of mice.
Cbl-b deficiency prevents functional but not phenotypic T cell anergy.
Bta-miR-223 Targeting CBLB Contributes to Resistance to Staphylococcus aureus Mastitis Through the PI3K/AKT/NF-κB Pathway.
Cbl Proto-Oncogene B (CBLB) c.197A>T Mutation Induces Mild Metabolic Dysfunction in Partial Type I Multiple Symmetric Lipomatosis (MSL).
Effects of Atypical Protein Kinase C Inhibitor (DNDA) on Lung Cancer Proliferation and Migration by PKC-ι/FAK Ubiquitination Through the Cbl-b Pathway.
Ubiquitination and functional modification of GluN2B subunit-containing NMDA receptors by Cbl-b in the spinal cord dorsal horn.
NR4A1 counteracts JNK activation incurred by ER stress or ROS in pancreatic β-cells for protection.
A multiple sclerosis-associated variant of CBLB links genetic risk with type I IFN function.
Ba L, Wu N, Feng X, Wang R, Zhao Z, Wang R, Liu R, Shi P, Sun H, Qi H
Cardiovascular drugs and therapy 2026 Feb;40(1):107-125
Cardiovascular drugs and therapy 2026 Feb;40(1):107-125
Kupffer cell calibration of T cell responses via VSIG4-CD5 interaction promotes tumor evasion.
Zhou X, Liu W, Hu J, Yao Q, Zhang F, Wu Q, Li L, Li J, Zhu L, Chen C, Zhang Q, Zhang R, Liu J, Shi C, Zhou H, Guo A, Wang J, Wang J, Hu Q, Li L, Jin T, Zeng Z
Nature immunology 2026 Apr 29;
Nature immunology 2026 Apr 29;
E3 ubiquitination ligase XIAP lightens diabetes-induced cognitive impairment by inactivating TXNIP-ERS-mediated neuronal injury.
Zhang Q, Huang HJ, Zhang JL, Tian Y, Hu Y
The Kaohsiung journal of medical sciences 2025 Jan;41(1):e12913
The Kaohsiung journal of medical sciences 2025 Jan;41(1):e12913
Oncoprotein-induced transcript 3 protein-enriched extracellular vesicles promotes NLRP3 ubiquitination to alleviate acute lung injury after cardiac surgery.
Li Y, Chen YT, Liu JS, Liang KF, Song YK, Cao Y, Chen CY, Jian YP, Liu XJ, Xu YQ, Yuan HX, Ou ZJ, Ou JS
Journal of molecular and cellular cardiology 2024 Oct;195:55-67
Journal of molecular and cellular cardiology 2024 Oct;195:55-67
E3 ubiquitin ligase casitas B-lineage lymphoma-b modulates T-cell anergic resistance via phosphoinositide 3-kinase signaling in patients with immune thrombocytopenia.
Liu L, Xiang Y, Shao L, Yuan C, Song X, Sun M, Liu Y, Zhang X, Du S, Hou M, Peng J, Shi Y
Journal of thrombosis and haemostasis : JTH 2024 Apr;22(4):1202-1214
Journal of thrombosis and haemostasis : JTH 2024 Apr;22(4):1202-1214
TCR signaling promotes formation of an STS1-Cbl-b complex with pH-sensitive phosphatase activity that suppresses T cell function in acidic environments.
Tsai YL, Arias-Badia M, Kadlecek TA, Lwin YM, Srinath A, Shah NH, Wang ZE, Barber D, Kuriyan J, Fong L, Weiss A
Immunity 2023 Dec 12;56(12):2682-2698.e9
Immunity 2023 Dec 12;56(12):2682-2698.e9
Mechanism of Yangxinshi Intervention on Cardiac Fibrosis in Diabetic Cardiomyopathy Based on Network Pharmacology.
Kuang J, Wu K, Li W, Zhang X, Zhang H, Jia Z, Han Q, Tian X, Sun R, Lu Q, Liu Y
Evidence-based complementary and alternative medicine : eCAM 2022;2022:3968494
Evidence-based complementary and alternative medicine : eCAM 2022;2022:3968494
Targeting the Cbl-b-Notch1 axis as a novel immunotherapeutic strategy to boost CD8+ T-cell responses.
Monticone G, Huang Z, Csibi F, Leit S, Ciccone D, Champhekar AS, Austin JE, Ucar DA, Hossain F, Ibba SV, Boulares AH, Carpino N, Xu K, Majumder S, Osborne BA, Loh C, Miele L
Frontiers in immunology 2022;13:987298
Frontiers in immunology 2022;13:987298
miR-27b-3p Attenuates Muscle Atrophy by Targeting Cbl-b in Skeletal Muscles.
Yang X, Li Z, Wang Z, Yu J, Ma M, Nie Q
Biomolecules 2022 Jan 23;12(2)
Biomolecules 2022 Jan 23;12(2)
Ionic Liquid-Based Extraction System for In-Depth Analysis of Membrane Protein Complexes.
Chu H, Zhao Q, Liu J, Yang K, Wang Y, Liu J, Zhang K, Zhao B, He H, Zheng Y, Zhong S, Liang Z, Zhang L, Zhang Y
Analytical chemistry 2022 Jan 18;94(2):758-767
Analytical chemistry 2022 Jan 18;94(2):758-767
Cbl-b modulated TrkA ubiquitination and function in the dorsal root ganglion of mice.
Chen HK, Li YZ, Ge AN, Zhu YB, Wu SJ, Bai X, Bai HH, Liu YN
European journal of pharmacology 2022 Apr 15;921:174876
European journal of pharmacology 2022 Apr 15;921:174876
Cbl-b deficiency prevents functional but not phenotypic T cell anergy.
Nguyen TTT, Wang ZE, Shen L, Schroeder A, Eckalbar W, Weiss A
The Journal of experimental medicine 2021 Jul 5;218(7)
The Journal of experimental medicine 2021 Jul 5;218(7)
Bta-miR-223 Targeting CBLB Contributes to Resistance to Staphylococcus aureus Mastitis Through the PI3K/AKT/NF-κB Pathway.
Han S, Li X, Liu J, Zou Z, Luo L, Wu R, Zhao Z, Wang C, Shen B
Frontiers in veterinary science 2020;7:529
Frontiers in veterinary science 2020;7:529
Cbl Proto-Oncogene B (CBLB) c.197A>T Mutation Induces Mild Metabolic Dysfunction in Partial Type I Multiple Symmetric Lipomatosis (MSL).
Chen K, Wan X, Zhao L, Zhao S, Peng L, Yang W, Yuan J, Zhu L, Mo Z
Diabetes, metabolic syndrome and obesity : targets and therapy 2020;13:3535-3549
Diabetes, metabolic syndrome and obesity : targets and therapy 2020;13:3535-3549
Effects of Atypical Protein Kinase C Inhibitor (DNDA) on Lung Cancer Proliferation and Migration by PKC-ι/FAK Ubiquitination Through the Cbl-b Pathway.
BommaReddy RR, Patel R, Smalley T, Acevedo-Duncan M
OncoTargets and therapy 2020;13:1661-1676
OncoTargets and therapy 2020;13:1661-1676
Ubiquitination and functional modification of GluN2B subunit-containing NMDA receptors by Cbl-b in the spinal cord dorsal horn.
Zhang ZY, Bai HH, Guo Z, Li HL, Diao XT, Zhang TY, Yao L, Ma JJ, Cao Z, Li YX, Bai X, Chen HK, Suo ZW, Yang X, Hu XD
Science signaling 2020 Jun 30;13(638)
Science signaling 2020 Jun 30;13(638)
NR4A1 counteracts JNK activation incurred by ER stress or ROS in pancreatic β-cells for protection.
Pu ZQ, Liu D, Lobo Mouguegue HPP, Jin CW, Sadiq E, Qin DD, Yu TF, Zong C, Chen JC, Zhao RX, Lin JY, Cheng J, Yu X, Li X, Zhang YC, Liu YT, Guan QB, Wang XD
Journal of cellular and molecular medicine 2020 Dec;24(24):14171-14183
Journal of cellular and molecular medicine 2020 Dec;24(24):14171-14183
A multiple sclerosis-associated variant of CBLB links genetic risk with type I IFN function.
Stürner KH, Borgmeyer U, Schulze C, Pless O, Martin R
Journal of immunology (Baltimore, Md. : 1950) 2014 Nov 1;193(9):4439-47
Journal of immunology (Baltimore, Md. : 1950) 2014 Nov 1;193(9):4439-47
No comments: Submit comment
Supportive validation
- Submitted by
- Proteintech Group (provider)
- Main image

- Experimental details
- HEK-293 cells were subjected to SDS PAGE followed by western blot with 12781-1-AP(CBLB antibody) at dilution of 1:500
- Sample type
- cell line
Supportive validation
- Submitted by
- Proteintech Group (provider)
- Main image

- Experimental details
- Immunofluorescent analysis of HepG2 cells, using CBLB antibody 12781-1-AP at 1:50 dilution and Rhodamine-labeled goat anti-rabbit IgG (red). Blue pseudocolor = DAPI (fluorescent DNA dye).
- Sample type
- cell line
Supportive validation
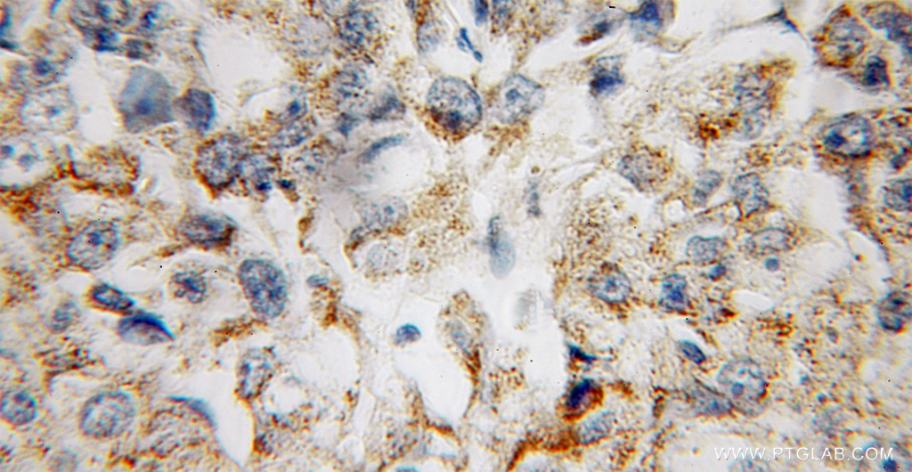
- Submitted by
- Proteintech Group (provider)
- Main image

- Experimental details
- Immunohistochemical of paraffin-embedded human lung cancer using 12781-1-AP(CBLB antibody) at dilution of 1:100 (under 10x lens)
- Sample type
- tissue