Antibody data
- Antibody Data
- Antigen structure
- References [0]
- Comments [0]
- Validations
- Western blot [3]
- Immunocytochemistry [1]
Submit
Validation data
Reference
Comment
Report error
- Product number
- TA506395 - Provider product page
- Provider
- Invitrogen Antibodies
- Product name
- LGALS3 Monoclonal Antibody (OTI1A10), TrueMAB™
- Antibody type
- Monoclonal
- Antigen
- Recombinant full-length protein
- Reactivity
- Human
- Host
- Mouse
- Isotype
- IgG
- Antibody clone number
- OTI1A10
- Vial size
- 100 µL
- Concentration
- 1 mg/mL
- Storage
- -20° C, Avoid Freeze/Thaw Cycles
No comments: Submit comment
Supportive validation
- Submitted by
- Invitrogen Antibodies (provider)
- Main image
- Experimental details
- HEK293T cells were transfected with the pCMV6-ENTRY control (Left lane) or pCMV6-ENTRY LGALS3 (RC208785, Right lane) cDNA for 48 hrs and lysed. Equivalent amounts of cell lysates (5 µg per lane) were separated by SDS-PAGE and immunoblotted with anti-LGALS. Positive lysates LY400834 (100 µg) and LC400834 (20 µg) can be purchased separately from OriGene.
- Submitted by
- Invitrogen Antibodies (provider)
- Main image
- Experimental details
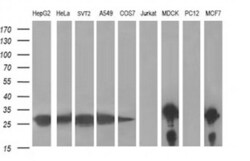
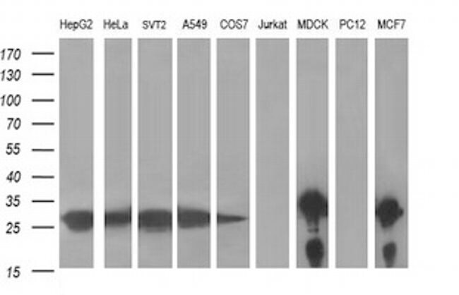
- Western blot analysis of extracts (35 µg) from 9 different cell lines by using anti-LGALS3 monoclonal antibody at 1:400 dilution (HepG2: human; HeLa: human; SVT2: mouse; A549: human; COS7: monkey; Jurkat: human; MDCK: canine; PC12: rat; MCF7: human).
- Submitted by
- Invitrogen Antibodies (provider)
- Main image
- Experimental details
- Equivalent amounts of cell lysates (10 µg per lane) of wild-type Hela cells (WT, Cat# LC810HELA) and LGALS3-Knockout Hela cells (KO, Cat# LC810128) were separated by SDS-PAGE and immunoblotted with anti-LGALS3 monoclonal antibody TA506395. Then the blotted membrane was stripped and reprobed with anti-HSP90AB1 antibody (TA500494) as a loading control. (1:500)
Supportive validation
- Submitted by
- Invitrogen Antibodies (provider)
- Main image
- Experimental details
- Immunofluorescent staining of HeLa cells using anti-LGALS3 mouse monoclonal antibody (TA506395).