Antibody data
- Antibody Data
- Antigen structure
- References [0]
- Comments [0]
- Validations
- Western blot [2]
- Immunohistochemistry [8]
- Flow cytometry [1]
Submit
Validation data
Reference
Comment
Report error
- Product number
- NBP2-00735 - Provider product page

- Provider
- Novus Biologicals
- Product name
- Mouse Monoclonal Monoglyceride Lipase Antibody
- Antibody type
- Monoclonal
- Description
- Affinity purified.
- Reactivity
- Human, Simian
- Host
- Mouse
- Isotype
- IgG
- Vial size
- 0.1 ml
- Concentration
- 1.1 mg/ml
- Storage
- Store at -20C. Avoid freeze-thaw cycles.
No comments: Submit comment
Supportive validation
- Submitted by
- Novus Biologicals (provider)
- Main image

- Experimental details
- Western Blot: Monoglyceride Lipase Antibody (2B11) [NBP2-00735] - HEK293T cells were transfected with the pCMV6-ENTRY control (Left lane) or pCMV6-ENTRY Monoglyceride Lipase (Right lane) cDNA for 48 hrs and lysed. Equivalent amounts of cell lysates (5 ug per lane) were separated by SDS-PAGE and immunoblotted with anti-Monoglyceride Lipase.
- Submitted by
- Novus Biologicals (provider)
- Main image

- Experimental details
- Western Blot: Monoglyceride Lipase Antibody (OTI2B11) [NBP2-00735] - Analysis of extracts (10ug) from HeLa cell line, dilution(1:200).
Supportive validation
- Submitted by
- Novus Biologicals (provider)
- Main image

- Experimental details
- Immunohistochemistry-Paraffin: Monoglyceride Lipase Antibody (2B11) [NBP2-00735] - Staining of paraffin-embedded Human prostate tissue using anti-Monoglyceride Lipase mouse monoclonal antibody.
- Submitted by
- Novus Biologicals (provider)
- Main image

- Experimental details
- Immunohistochemistry-Paraffin: Monoglyceride Lipase Antibody (2B11) [NBP2-00735] - Staining of paraffin-embedded Human pancreas tissue using anti-Monoglyceride Lipase mouse monoclonal antibody.
- Submitted by
- Novus Biologicals (provider)
- Main image

- Experimental details
- Immunohistochemistry-Paraffin: Monoglyceride Lipase Antibody (2B11) [NBP2-00735] - Staining of paraffin-embedded Human Kidney tissue using anti-Monoglyceride Lipase mouse monoclonal antibody.
- Submitted by
- Novus Biologicals (provider)
- Main image

- Experimental details
- Immunohistochemistry-Paraffin: Monoglyceride Lipase Antibody (2B11) [NBP2-00735] - Staining of paraffin-embedded Carcinoma of Human pancreas tissue using anti-Monoglyceride Lipase mouse monoclonal antibody.
- Submitted by
- Novus Biologicals (provider)
- Main image

- Experimental details
- Immunohistochemistry-Paraffin: Monoglyceride Lipase Antibody (2B11) [NBP2-00735] - Staining of paraffin-embedded Carcinoma of Human bladder tissue using anti-Monoglyceride Lipase mouse monoclonal antibody.
- Submitted by
- Novus Biologicals (provider)
- Main image

- Experimental details
- Immunohistochemistry-Paraffin: Monoglyceride Lipase Antibody (2B11) [NBP2-00735] - Staining of paraffin-embedded Adenocarcinoma of Human endometrium tissue using anti-Monoglyceride Lipase mouse monoclonal antibody.
- Submitted by
- Novus Biologicals (provider)
- Main image

- Experimental details
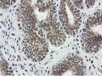
- Immunohistochemistry-Paraffin: Monoglyceride Lipase Antibody (2B11) [NBP2-00735] - Staining of paraffin-embedded Adenocarcinoma of Human colon tissue using anti-Monoglyceride Lipase mouse monoclonal antibody.
- Submitted by
- Novus Biologicals (provider)
- Main image

- Experimental details
- Immunohistochemistry-Paraffin: Monoglyceride Lipase Antibody (2B11) [NBP2-00735] - Staining of paraffin-embedded Adenocarcinoma of Human breast tissue using anti-Monoglyceride Lipase mouse monoclonal antibody.
Supportive validation
- Submitted by
- Novus Biologicals (provider)
- Main image

- Experimental details
- Flow Cytometry: Monoglyceride Lipase Antibody (2B11) [NBP2-00735] - HEK293T cells transfected with either overexpression plasmid (Red) or empty vector control plasmid (Blue) were immunostained by anti-Monoglyceride Lipase antibody, and then analyzed by flow cytometry.