Antibody data
- Antibody Data
- Antigen structure
- References [0]
- Comments [0]
- Validations
- Western blot [2]
- Immunohistochemistry [2]
- Flow cytometry [1]
Submit
Validation data
Reference
Comment
Report error
- Product number
- ARG65697 - Provider product page

- Provider
- Arigo
- Product name
- anti-SIRT1 antibody
- Antibody type
- Polyclonal
- Antigen
- KLH-conjugated synthetic peptide around the C-terminus of Human SIRT1.
- Description
- Affinity purification with immunogen.
- Reactivity
- Human, Mouse
- Host
- Rabbit
- Isotype
- IgG
- Vial size
- 100 µl
- Storage
- For continuous use, store undiluted antibody at 2-8°C for up to a week. For long-term storage, aliquot and store at -20°C. Storage in frost free freezers is not recommended. Keep the antibody in the dark and keep protected from prolonged exposure to light. Avoid repeated freeze/thaw cycles. Suggest spin the vial prior to opening.
- Handling
- The antibody solution should be gently mixed before use.
No comments: Submit comment
Supportive validation
- Submitted by
- Arigo (provider)
- Main image

- Experimental details
- Western blot: 30 µg of HCT116 cell lysate stained with ARG65697 anti-SIRT1 antibody at 1:1000 dilution.
- Submitted by
- Arigo (provider)
- Main image

- Experimental details
- Western blot: 1) HeLa, 2) F9, and 3) Jurkat cell lysates stained with ARG65697 anti-SIRT1 antibody at 1:1000 dilution.
Supportive validation
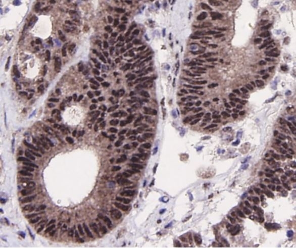
- Submitted by
- Arigo (provider)
- Main image

- Experimental details
- Immunohistochemistry: paraffin-embedded Human colon carcinoma tissue stained with ARG65697 anti-SIRT1 antibody. Counter stained with hematoxylin.
- Submitted by
- Arigo (provider)
- Main image

- Experimental details
- Immunohistochemistry: paraffin-embedded Human lung carcinoma tissue stained with ARG65697 anti-SIRT1 antibody. Counter stained with hematoxylin.
Supportive validation
- Submitted by
- Arigo (provider)
- Main image

- Experimental details
- Flow Cytometry: HeLa cells stained with ARG65697 anti-SIRT1 antibody at 1:100 dilution (blue) followed by incubation with FITC labelled secondary antibody; Unlabelled control (cells without incubation with primary antibody; red).