Antibody data
- Antibody Data
- Antigen structure
- References [0]
- Comments [0]
- Validations
- Western blot [1]
- ELISA [1]
- Immunocytochemistry [1]
- Immunohistochemistry [1]
Submit
Validation data
Reference
Comment
Report error
- Product number
- MAB10569 - Provider product page 
- Provider
- Abnova Corporation
- Proper citation
- Abnova Corporation Cat#MAB10569, RRID:AB_11190484
- Product name
- ADRBK1 monoclonal antibody, clone 3F8
- Antibody type
- Monoclonal
- Description
- Mouse monoclonal antibody raised against partial recombinant ADRBK1.
- Isotype
- IgG
- Antibody clone number
- 3F8
- Storage
- Store at 4°C. For long term storage store at -20°C.Aliquot to avoid repeated freezing and thawing.
				No comments: Submit comment	
	
			
							
					Supportive validation
					
									
				
				- Submitted by
- Abnova Corporation (provider)
- Main image
 
- Experimental details
- Western blot analysis using ADRBK1 monoclonal antibody, clone 3F8 (Cat # MAB10569) against HeLa (1), Jurkat (2), MOLT 4 (3), Raji (4), THP-1 (5), L1210 (6), COS-7 (7), PC-12 (8), and NIH/3T3 (9) cell lysate.
							
					Supportive validation
					
									
				
				- Submitted by
- Abnova Corporation (provider)
- Main image
 
- Experimental details
- ELISA detection with ADRBK1 monoclonal antibody, clone 3F8 (Cat # MAB10569).
- Validation comment
- ELISA
							
					Supportive validation
					
									
				
				- Submitted by
- Abnova Corporation (provider)
- Main image
 
- Experimental details
- Immunofluorescence analysis of NIH/3T3 cells using ADRBK1 monoclonal antibody, clone 3F8 (Cat # MAB10569) (green). Blue: DRAQ5 fluorescent DNA dye.
- Validation comment
- Immunofluorescence
							
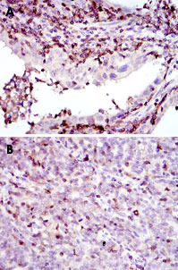
					Supportive validation
					
									
				
		- Submitted by
- Abnova Corporation (provider)
- Main image
 
- Experimental details
- Immunohistochemical analysis of paraffin-embedded human endometrial cancer tissues (A) and cervical cancer tissues (B) using ADRBK1 monoclonal antibody, clone 3F8 (Cat # MAB10569) with DAB staining.
- Validation comment
- Immunohistochemistry (Formalin/PFA-fixed paraffin-embedded sections)