Antibody data
- Antibody Data
 - Antigen structure
 - References [0]
 - Comments [0]
 - Validations
 - Western blot [4]
 - Immunohistochemistry [2]
 
Submit
Validation data
Reference
Comment
Report error
- Product number
 - 14853-1-AP - Provider product page

 - Provider
 - Invitrogen Antibodies
 - Product name
 - Collagen Type VI Polyclonal Antibody
 - Antibody type
 - Polyclonal
 - Antigen
 - Other
 - Reactivity
 - Human, Porcine
 - Host
 - Rabbit
 - Isotype
 - IgG
 - Vial size
 - 150 µL
 - Concentration
 - 0.13 mg/mL
 - Storage
 - -20°C
 
				No comments: Submit comment	
	
			
							
					Supportive validation
					
									
				
				- Submitted by
 - Invitrogen Antibodies (provider)
 - Main image
 
- Experimental details
 - human placenta tissue were subjected to SDS PAGE followed by western blot with (Product # 14853-1-AP) (Collagen Type VI antibody) at dilution of 1:4,000 incubated at room temperature for 1.5 hours.
 
- Submitted by
 - Invitrogen Antibodies (provider)
 - Main image
 
- Experimental details
 - Human heart tissue were subjected to SDS PAGE followed by western blot with 14853-1-AP (Collagen Type VI antibody) at dilution of 1:500 incubated at room temperature for 1.5 hours.
 
- Submitted by
 - Invitrogen Antibodies (provider)
 - Main image
 
- Experimental details
 - Human heart tissue were subjected to SDS PAGE followed by western blot with 14853-1-AP (Collagen Type VI antibody) at dilution of 1:500 incubated at room temperature for 1.5 hours.
 
- Submitted by
 - Invitrogen Antibodies (provider)
 - Main image
 
- Experimental details
 - Human placenta tissue were subjected to SDS PAGE followed by western blot with 14853-1-AP (Collagen Type VI antibody) at dilution of 1:2000 incubated at room temperature for 1.5 hours.
 
							
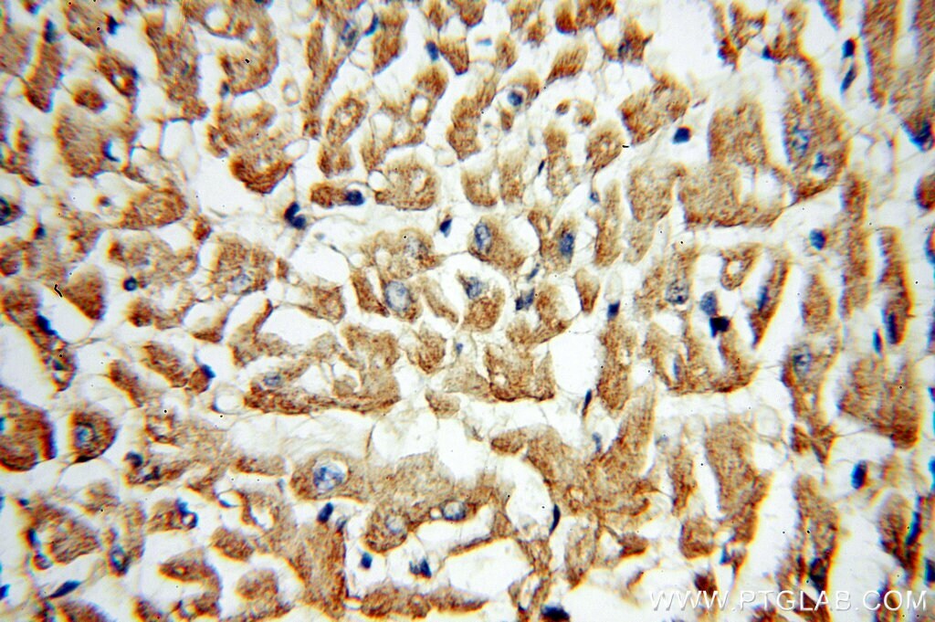
					Supportive validation
					
									
				
		- Submitted by
 - Invitrogen Antibodies (provider)
 - Main image
 
- Experimental details
 - Immunohistochemistry of paraffin-embedded human heart using 14853-1-AP (Collagen Type VI antibody) at dilution of 1:50 (under 40x lens).
 
- Submitted by
 - Invitrogen Antibodies (provider)
 - Main image
 
- Experimental details
 - Immunohistochemistry of paraffin-embedded human heart using 14853-1-AP (Collagen Type VI antibody) at dilution of 1:50 (under 10x lens).