Antibody data
- Antibody Data
 - Antigen structure
 - References [2]
 - Comments [0]
 - Validations
 - Western blot [2]
 - Immunohistochemistry [10]
 
Submit
Validation data
Reference
Comment
Report error
- Product number
 - NBP1-90951 - Provider product page

 - Provider
 - Novus Biologicals
 - Proper citation
 - Novus Cat#NBP1-90951, RRID:AB_11010090
 - Product name
 - Rabbit Polyclonal Collagen VI alpha 2 Antibody
 - Antibody type
 - Polyclonal
 - Description
 - Immunogen affinity purified. Specificity of human Collagen VI alpha 2 antibody verified on a Protein Array containing target protein plus 383 other non-specific proteins.
 - Reactivity
 - Human
 - Host
 - Rabbit
 - Isotype
 - IgG
 - Vial size
 - 0.1 ml
 - Storage
 - Store at 4C short term. Aliquot and store at -20C long term. Avoid freeze-thaw cycles.
 
Submitted references		Dissecting the oncogenic and tumorigenic potential of differentiated human induced pluripotent stem cells and human embryonic stem cells.
				
Vascular gene expression patterns are conserved in primary and metastatic brain tumors.
				
		
	
			Ghosh Z, Huang M, Hu S, Wilson KD, Dey D, Wu JC
Cancer research 2011 Jul 15;71(14):5030-9
		Cancer research 2011 Jul 15;71(14):5030-9
Vascular gene expression patterns are conserved in primary and metastatic brain tumors.
			Liu Y, Carson-Walter EB, Cooper A, Winans BN, Johnson MD, Walter KA
Journal of neuro-oncology 2010 Aug;99(1):13-24
		Journal of neuro-oncology 2010 Aug;99(1):13-24
				No comments: Submit comment	
	
			
							
					Supportive validation
					
									
				
				- Submitted by
 - Novus Biologicals (provider)
 - Main image
 
- Experimental details
 - Western Blot: Collagen VI alpha 2 Antibody [NBP1-90951] - Analysis in human liver tissue.
 
- Submitted by
 - Novus Biologicals (provider)
 - Main image
 
- Experimental details
 - Western Blot: Collagen VI alpha 2 Antibody [NBP1-90951] - Analysis using Anti-COL6A2 antibody NBP1-90951 (A) shows similar pattern to independent antibody NBP2-55655 (B).
 
							
					Supportive validation
					
									
				
		- Submitted by
 - Novus Biologicals (provider)
 - Main image
 
- Experimental details
 - Immunohistochemistry-Paraffin: Collagen VI alpha 2 Antibody [NBP1-90951] - Staining of human colon using Anti-COL6A2 antibody.
 
- Submitted by
 - Novus Biologicals (provider)
 - Main image
 
- Experimental details
 - Immunohistochemistry-Paraffin: Collagen VI alpha 2 Antibody [NBP1-90951] - Staining of human liver using Anti-COL6A2 antibody.
 
- Submitted by
 - Novus Biologicals (provider)
 - Main image
 
- Experimental details
 - Immunohistochemistry-Paraffin: Collagen VI alpha 2 Antibody [NBP1-90951] - Staining of human testis using Anti-COL6A2 antibody.
 
- Submitted by
 - Novus Biologicals (provider)
 - Main image
 
- Experimental details
 - Immunohistochemistry-Paraffin: Collagen VI alpha 2 Antibody [NBP1-90951] - Staining of human kidney using Anti-COL6A2 antibody.
 
- Submitted by
 - Novus Biologicals (provider)
 - Main image
 
- Experimental details
 - Immunohistochemistry-Paraffin: Collagen VI alpha 2 Antibody [NBP1-90951] - Staining of human colon, kidney, liver and testis using Anti-COL6A2 antibody NBP1-90951(A) shows similar protein distribution across tissues to independent antibody NBP2-55655 (B).
 
- Submitted by
 - Novus Biologicals (provider)
 - Main image
 
- Experimental details
 - Immunohistochemistry-Paraffin: Collagen VI alpha 2 Antibody [NBP1-90951] - Staining of human colon shows strong positivity in extracellular matrix in lamina propria.
 
- Submitted by
 - Novus Biologicals (provider)
 - Main image
 
- Experimental details
 - Immunohistochemistry-Paraffin: Collagen VI alpha 2 Antibody [NBP1-90951] - Staining of human gastrointestinal, pancreas, placenta and prostate using Anti-COL6A2 antibody NBP1-90951 (A) shows similar protein distribution across tissues to independent antibody NBP2-55655 (B).
 
- Submitted by
 - Novus Biologicals (provider)
 - Main image
 
- Experimental details
 - Immunohistochemistry-Paraffin: Collagen VI alpha 2 Antibody [NBP1-90951] - Staining of human pancreas shows only very weak positivity in exocrine glandular cells.
 
- Submitted by
 - Novus Biologicals (provider)
 - Main image
 
- Experimental details
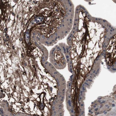
 - Immunohistochemistry-Paraffin: Collagen VI alpha 2 Antibody [NBP1-90951] - Staining of human placenta shows strong positivity in extracellular matrix in chorionic vlli.
 
- Submitted by
 - Novus Biologicals (provider)
 - Main image
 
- Experimental details
 - Immunohistochemistry-Paraffin: Collagen VI alpha 2 Antibody [NBP1-90951] - Staining of human prostate shows moderate to strong membranous and cytoplasmic positivity in smooth muscle cells.