Antibody data
- Antibody Data
- Antigen structure
- References [0]
- Comments [0]
- Validations
- Western blot [3]
- Immunohistochemistry [8]
- Flow cytometry [1]
- Other assay [1]
Submit
Validation data
Reference
Comment
Report error
- Product number
- 17617-1-AP - Provider product page

- Provider
- Invitrogen Antibodies
- Product name
- CD3 Polyclonal Antibody
- Antibody type
- Polyclonal
- Antigen
- Other
- Reactivity
- Human, Mouse, Rat, Porcine
- Host
- Rabbit
- Isotype
- IgG
- Vial size
- 150 µL
- Concentration
- 0.23 mg/mL
- Storage
- -20°C
No comments: Submit comment
Supportive validation
- Submitted by
- Invitrogen Antibodies (provider)
- Main image

- Experimental details
- Human spleen tissue were subjected to SDS PAGE followed by western blot with 17617-1-AP (CD3 antibody) at dilution of 1:500 incubated at room temperature for 1.5 hours.
- Submitted by
- Invitrogen Antibodies (provider)
- Main image

- Experimental details
- Pig spleen tissue were subjected to SDS PAGE followed by western blot with 17617-1-AP (CD3 antibody) at dilution of 1:600 incubated at room temperature for 1.5 hours.
- Submitted by
- Invitrogen Antibodies (provider)
- Main image

- Experimental details
- Jurkat cells were subjected to SDS PAGE followed by western blot with 17617-1-AP (CD3 antibody) at dilution of 1:1000 incubated at room temperature for 1.5 hours.
Supportive validation
- Submitted by
- Invitrogen Antibodies (provider)
- Main image

- Experimental details
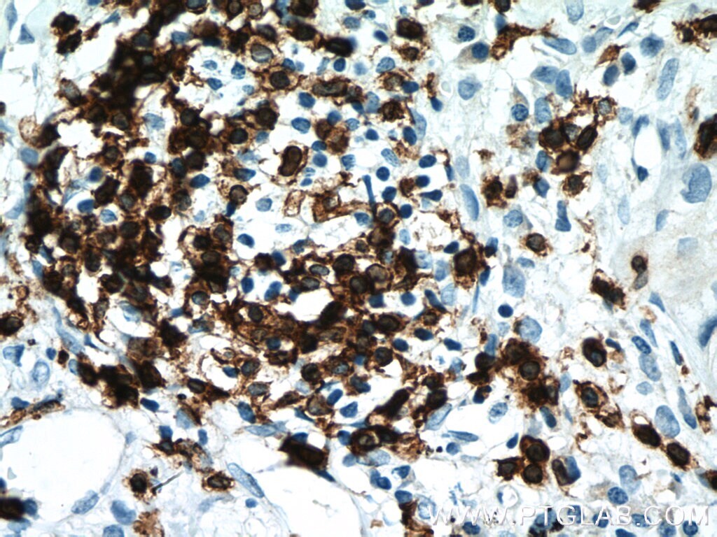
- Immunohistochemistry of paraffin-embedded human lung cancer tissue slide using 17617-1-AP (CD3 antibody) at dilution of 1:1000 (under 10x lens) heat mediated antigen retrieved with Tris-EDTA buffer (pH 9).
- Submitted by
- Invitrogen Antibodies (provider)
- Main image

- Experimental details
- Immunohistochemistry of paraffin-embedded human lung cancer tissue slide using 17617-1-AP (CD3 antibody) at dilution of 1:1000 (under 40x lens) heat mediated antigen retrieved with Tris-EDTA buffer (pH 9).
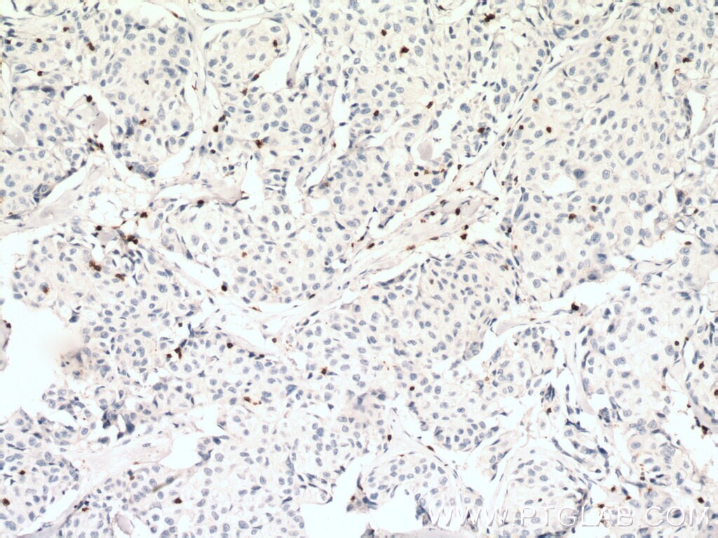
- Submitted by
- Invitrogen Antibodies (provider)
- Main image

- Experimental details
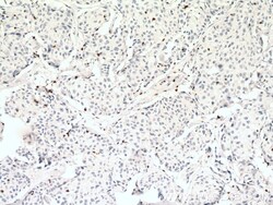
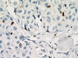
- Immunohistochemistry of paraffin-embedded human lung cancer tissue slide using 17617-1-AP (CD3 antibody) at dilution of 1:1000 (under 10x lens) heat mediated antigen retrieved with Tris-EDTA buffer (pH 9).
- Submitted by
- Invitrogen Antibodies (provider)
- Main image

- Experimental details
- Immunohistochemistry of paraffin-embedded human lung cancer tissue slide using 17617-1-AP (CD3 antibody) at dilution of 1:1000 (under 40x lens) heat mediated antigen retrieved with Tris-EDTA buffer (pH 9).
- Submitted by
- Invitrogen Antibodies (provider)
- Main image

- Experimental details
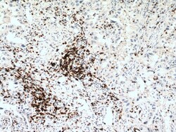
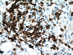
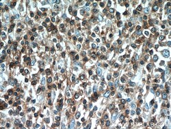
- Immunohistochemistry of paraffin-embedded human angioimmunoblastic T-cell lymphoma using 17617-1-AP (CD3 antibody) at dilution of 1:100 (under 10x lens).
- Submitted by
- Invitrogen Antibodies (provider)
- Main image

- Experimental details
- Immunohistochemistry of paraffin-embedded human angioimmunoblastic T-cell lymphoma using 17617-1-AP (CD3 antibody) at dilution of 1:100 (under 40x lens).
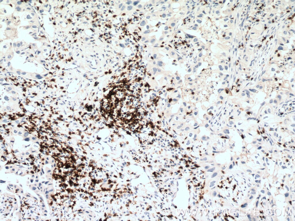
- Submitted by
- Invitrogen Antibodies (provider)
- Main image

- Experimental details
- Immunohistochemistry of paraffin-embedded human tonsillitis tissue slide using 17617-1-AP ( CD3 Antibody) at dilution of 1:200 (under 10x lens). Heat mediated antigen retrieved with Tris-EDTA buffer, pH 9.0.
- Submitted by
- Invitrogen Antibodies (provider)
- Main image

- Experimental details
- Immunohistochemistry of paraffin-embedded human tonsillitis tissue slide using 17617-1-AP ( CD3 Antibody) at dilution of 1:200 (under 40x lens). Heat mediated antigen retrieved with Tris-EDTA buffer, pH 9.0.
Supportive validation
- Submitted by
- Invitrogen Antibodies (provider)
- Main image

- Experimental details
- 1X10^6 Jurkat cells were stained with 0.5ug CD3 antibody (17617-1-AP, red) and control antibody (blue). Fixed with 90% MeOH blocked with 3% BSA (30 min). Alexa Fluor 488-conjugated AffiniPure Goat Anti-Rabbit IGG (H+L) with dilution 1:1000.
Supportive validation
- Submitted by
- Invitrogen Antibodies (provider)
- Main image

- Experimental details
- IP result of anti-CD3 (IP:17617-1-AP, 4ug; Detection:17617-1-AP 1:1000) with Jurkat cells lysate 3600ug.