Antibody data
- Antibody Data
- Antigen structure
- References [3]
- Comments [0]
- Validations
- Western blot [1]
- Immunohistochemistry [2]
- Flow cytometry [1]
Submit
Validation data
Reference
Comment
Report error
- Product number
- PAB3542 - Provider product page

- Provider
- Abnova Corporation
- Proper citation
- Abnova Corporation Cat#PAB3542, RRID:AB_1581371
- Product name
- TLR2 polyclonal antibody
- Antibody type
- Polyclonal
- Description
- Rabbit polyclonal antibody raised against synthetic peptide of TLR2.
- Storage
- Store at 4°C. For long term storage store at -20°C.Aliquot to avoid repeated freezing and thawing.
Submitted references Airway epithelia regulate expression of human beta-defensin 2 through Toll-like receptor 2.
Importance of extra- and intracellular domains of TLR1 and TLR2 in NFkappa B signaling.
Cellular recognition of tri-/di-palmitoylated peptides is independent from a domain encompassing the N-terminal seven leucine-rich repeat (LRR)/LRR-like motifs of TLR2.
Wang X, Zhang Z, Louboutin JP, Moser C, Weiner DJ, Wilson JM
FASEB journal : official publication of the Federation of American Societies for Experimental Biology 2003 Sep;17(12):1727-9
FASEB journal : official publication of the Federation of American Societies for Experimental Biology 2003 Sep;17(12):1727-9
Importance of extra- and intracellular domains of TLR1 and TLR2 in NFkappa B signaling.
Sandor F, Latz E, Re F, Mandell L, Repik G, Golenbock DT, Espevik T, Kurt-Jones EA, Finberg RW
The Journal of cell biology 2003 Sep 15;162(6):1099-110
The Journal of cell biology 2003 Sep 15;162(6):1099-110
Cellular recognition of tri-/di-palmitoylated peptides is independent from a domain encompassing the N-terminal seven leucine-rich repeat (LRR)/LRR-like motifs of TLR2.
Meng G, Grabiec A, Vallon M, Ebe B, Hampel S, Bessler W, Wagner H, Kirschning CJ
The Journal of biological chemistry 2003 Oct 10;278(41):39822-9
The Journal of biological chemistry 2003 Oct 10;278(41):39822-9
No comments: Submit comment
Supportive validation
- Submitted by
- Abnova Corporation (provider)
- Main image

- Experimental details
- Western blot analysis of K-562 cell lysate (35 ug/lane) with TLR2 polyclonal antibody (Cat # PAB3542).
Supportive validation
- Submitted by
- Abnova Corporation (provider)
- Main image

- Experimental details
- Formalin-fixed and paraffin-embedded human cancer tissue reacted with TLR2 polyclonal antibody (Cat # PAB3542) , which was peroxidase-conjugated to the secondary antibody, followed by AEC staining. This data demonstrates the use of this antibody for immunohistochemistry ; clinical relevance has not been evaluated. BC = breast carcinoma.
- Validation comment
- Immunohistochemistry (Formalin/PFA-fixed paraffin-embedded sections)
- Submitted by
- Abnova Corporation (provider)
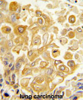
- Main image

- Experimental details
- Formalin-fixed and paraffin-embedded human lung carcinomareacted with TLR2 polyclonal antibody (Cat # PAB3542), which was peroxidase-conjugated to the secondary antibody, followed by AEC staining.This data demonstrates the use of this antibody for immunohistochemistry; clinical relevance has not been evaluated.
- Validation comment
- Immunohistochemistry (Formalin/PFA-fixed paraffin-embedded sections)
Supportive validation
- Submitted by
- Abnova Corporation (provider)
- Main image

- Experimental details
- Flow cytometric analysis of CEM cells using TLR2 polyclonal antibody (Cat # PAB3542)(bottom histogram) compared to a negative control cell (top histogram).FITC-conjugated goat-anti-rabbit secondary antibodies were used for the analysis.
- Validation comment
- Flow Cytometry