Antibody data
- Antibody Data
 - Antigen structure
 - References [0]
 - Comments [0]
 - Validations
 - Western blot [2]
 - Immunohistochemistry [3]
 
Submit
Validation data
Reference
Comment
Report error
- Product number
 - GTX13680 - Provider product page

 - Provider
 - GeneTex
 - Proper citation
 - GeneTex Cat#GTX13680, RRID:AB_371626
 - Product name
 - Psoriasin antibody [47C1068]
 - Antibody type
 - Monoclonal
 - Reactivity
 - Human
 - Host
 - Mouse
 
				No comments: Submit comment	
	
			
							
					Supportive validation
					
									
				
				- Submitted by
 - GeneTex (provider)
 - Main image
 
- Experimental details
 - Western blot analysis of Psoriasin/HID-5 in confluent MCF10A cells; antibody used at 1 μg/ml.
 
- Submitted by
 - GeneTex (provider)
 - Main image
 
- Experimental details
 - Western blot analysis of Psoriasin/HID-5 in A) MCF10A and B) MCF7 cell lysate using GTX13680 at 1 μg/ml.
 
							
					Supportive validation
					
									
				
		- Submitted by
 - GeneTex (provider)
 - Main image
 
- Experimental details
 - Immunohistochemical analysis of Psoriasin/HID-5 expression in formalin-fixed, paraffin-embedded ductal carcinoma in situ. Shown are successive sections of H&E staining a control monoclonal antibody, and GTX13680.
 
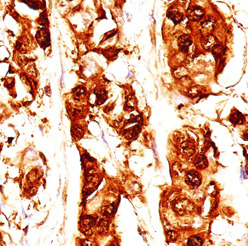
- Submitted by
 - GeneTex (provider)
 - Main image
 
- Experimental details
 - Formalin-fixed, paraffin-embedded human breast tissue stained with HID5 antibody at 1:200 using peroxidase-conjμgate and DAB chromogen. Antigen retrieval with citrate buffer, pH 6.
 
- Submitted by
 - GeneTex (provider)
 - Main image
 
- Experimental details
 - Psoriasin/HID5/S100A7 immunocytochemical detection was performed on (A) untreated and (B) LPS-treated (100 ng/ml, 21 hrs) HOPE-fixed human bronchial epithelial cells. (D) Negative control was included omitting the primary antibody.