Antibody data
- Antibody Data
 - Antigen structure
 - References [0]
 - Comments [0]
 - Validations
 - Immunocytochemistry [2]
 - Immunohistochemistry [2]
 - Flow cytometry [2]
 
Submit
Validation data
Reference
Comment
Report error
- Product number
 - PA5-79947 - Provider product page

 - Provider
 - Invitrogen Antibodies
 - Product name
 - S100A7 Polyclonal Antibody
 - Antibody type
 - Polyclonal
 - Antigen
 - Recombinant full-length protein
 - Description
 - Reconstitute with 0.2 mL of distilled water to yield a concentration of 500 µg/mL. Positive Control - WB: human placenta tissue, human Hela cell, rat spleen tissue, rat RH35 cell, mouse spleen tissue. IHC: human lung cancer tissue, human rectal cancer tissue. ICC/IF: A431 cell. Flow: A431 cell.
 - Reactivity
 - Human, Mouse, Rat
 - Host
 - Rabbit
 - Isotype
 - IgG
 - Vial size
 - 100 μg
 - Concentration
 - 500 μg/mL
 - Storage
 - -20°C
 
				No comments: Submit comment	
	
			
							
					Supportive validation
					
									
				
				- Submitted by
 - Invitrogen Antibodies (provider)
 - Main image
 
- Experimental details
 - Immunocytochemistry analysis of Psoriasin using anti-Psoriasin antibody (Product # PA5-79947). Psoriasin was detected in a section of A431 cells. Enzyme antigen retrieval was performed using IHC enzyme antigen retrieval reagent for 15 mins. The cells were blocked with 10% goat serum and then incubated with 2μg/mL rabbit anti-Psoriasin antibody (Product # PA5-79947) overnight at 4°C. Cy3 Conjugated Goat Anti-Rabbit IgG was used as secondary antibody at 1:100 dilution and incubated for 30 minutes at 37°C. The section was counterstained with DAPI. Visualize using a fluorescence microscope and filter sets appropriate for the label used.
 
- Submitted by
 - Invitrogen Antibodies (provider)
 - Main image
 
- Experimental details
 - Immunocytochemistry analysis of Psoriasin using anti-Psoriasin antibody (Product # PA5-79947). Psoriasin was detected in a section of A431 cells. Enzyme antigen retrieval was performed using IHC enzyme antigen retrieval reagent for 15 mins. The cells were blocked with 10% goat serum and then incubated with 2μg/mL rabbit anti-Psoriasin antibody (Product # PA5-79947) overnight at 4°C. Cy3 Conjugated Goat Anti-Rabbit IgG was used as secondary antibody at 1:100 dilution and incubated for 30 minutes at 37°C. The section was counterstained with DAPI. Visualize using a fluorescence microscope and filter sets appropriate for the label used.
 
							
					Supportive validation
					
									
				
				- Submitted by
 - Invitrogen Antibodies (provider)
 - Main image
 
- Experimental details
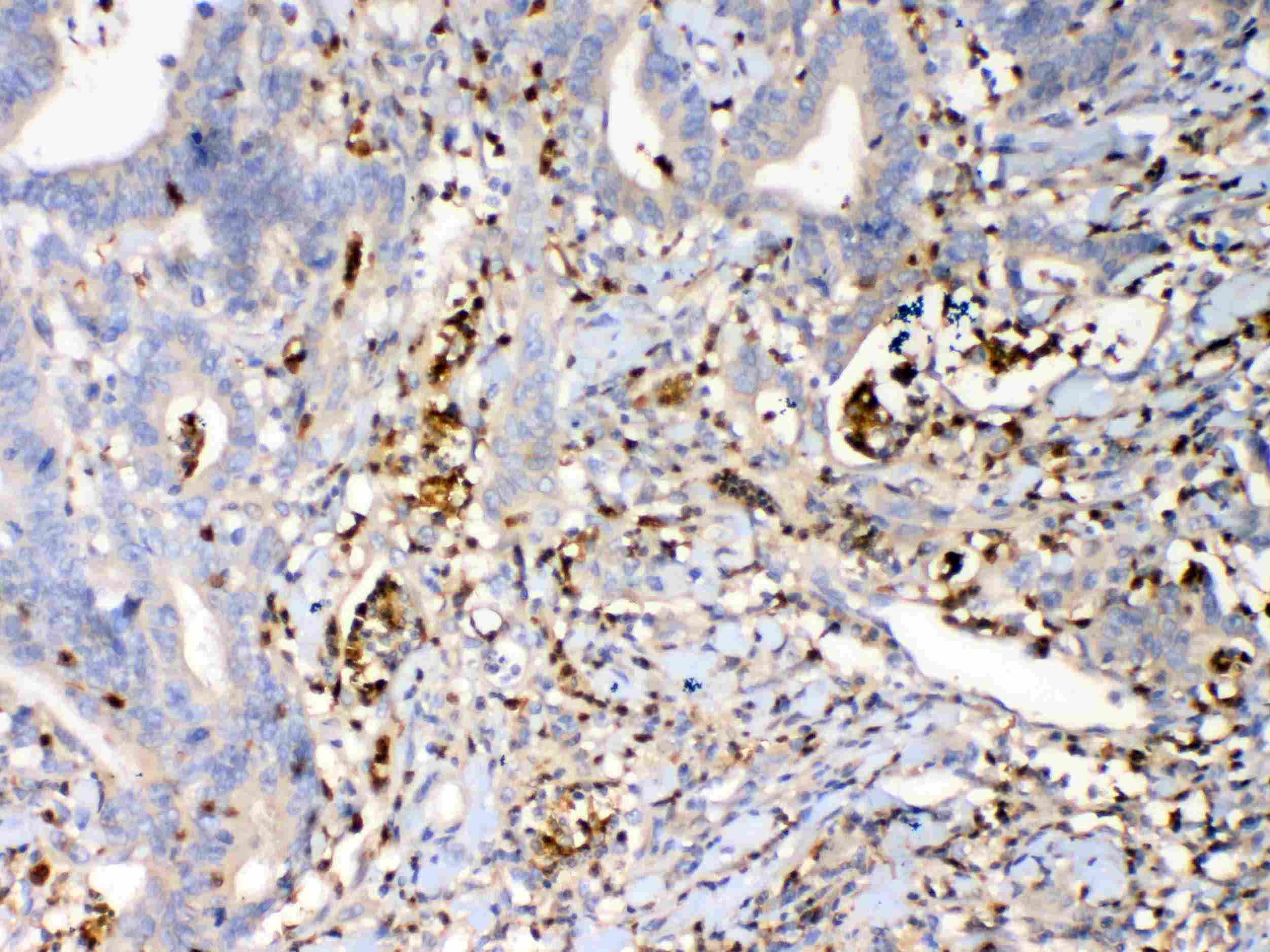
 - Immunohistochemistry analysis of S100A7 on paraffin-embedded human lung cancer tissue. Antigen retrieval was performed using citrate buffer (pH6, epitope retrieval solution) for 20 mins. Sample was blocked using 10% goat serum, incubated with S100A7 polyclonal antibody (Product# PA5-79947) with a dilution of 1 µg/mL (overnight at 4°C), and followed by biotinylated goat anti-rabbit IgG (30 minutes at 37°C). Development was performed using Streptavidin-Biotin-Complex (SABC) with DAB chromogen method.
 
- Submitted by
 - Invitrogen Antibodies (provider)
 - Main image
 
- Experimental details
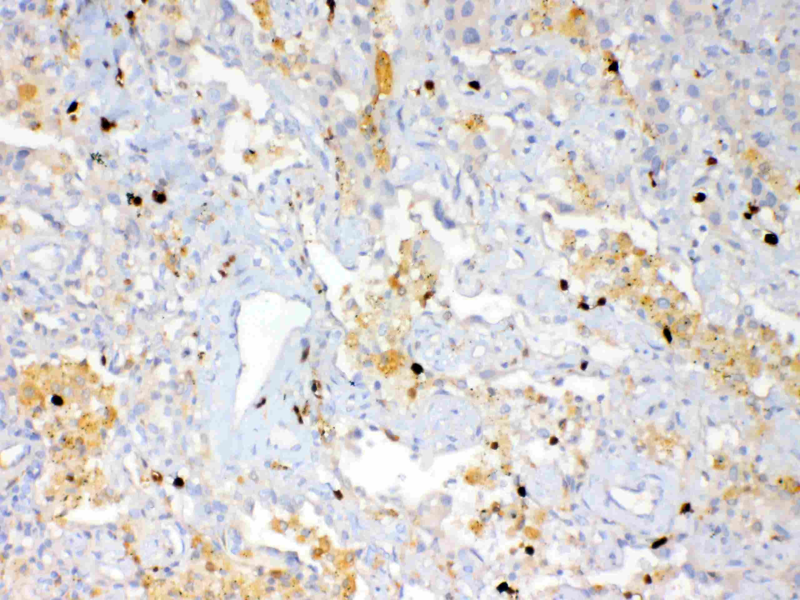
 - Immunohistochemistry analysis of S100A7 on paraffin-embedded human rectal cancer tissue. Antigen retrieval was performed using citrate buffer (pH6, epitope retrieval solution) for 20 mins. Sample was blocked using 10% goat serum, incubated with S100A7 polyclonal antibody (Product# PA5-79947) with a dilution of 1 µg/mL (overnight at 4°C), and followed by biotinylated goat anti-rabbit IgG (30 minutes at 37°C). Development was performed using Streptavidin-Biotin-Complex (SABC) with DAB chromogen method.
 
							
					Supportive validation
					
									
				
		- Submitted by
 - Invitrogen Antibodies (provider)
 - Main image
 
- Experimental details
 - Flow Cytometry of S100A7 in A431 cells (blue line), isotype control rabbit IgG (green line) and unlabeled (red line). Samples were blocked with 10% goat serum, incubated with S100A7 Polyclonal Antibody (Product # PA5-79947) at a dilution of 1 μg (per 1x10^6 cells), followed by DyLight®488 conjugated goat anti-rabbit IgG (for 30 minutes at 20°C) using 5-10 μg (per 1x10^6 cells) dilution.
 
- Submitted by
 - Invitrogen Antibodies (provider)
 - Main image
 
- Experimental details
 - Flow Cytometry of S100A7 in A431 cells (blue line), isotype control rabbit IgG (green line) and unlabeled (red line). Samples were blocked with 10% goat serum, incubated with S100A7 Polyclonal Antibody (Product # PA5-79947) at a dilution of 1 μg (per 1x10^6 cells), followed by DyLight®488 conjugated goat anti-rabbit IgG (for 30 minutes at 20°C) using 5-10 μg (per 1x10^6 cells) dilution.