Antibody data
- Antibody Data
- Antigen structure
- References [0]
- Comments [0]
- Validations
- Western blot [1]
- Immunohistochemistry [2]
- Flow cytometry [1]
Submit
Validation data
Reference
Comment
Report error
- Product number
- F54506 - Provider product page

- Provider
- NSJ Bioreagents
- Product name
- Zebrafish ak2 Antibody
- Antibody type
- Polyclonal
- Description
- This highly specific Zebrafish ak2 antibody is suitable for use in Western blot/Immunohistochemistry/Flow cytometry applications with zebrafish, human and mouse samples.
- Reactivity
- Human, Mouse, Zebrafish
- Host
- Rabbit
- Conjugate
- Unconjugated
- Vial size
- 0.05 ml, 0.2 ml
- Concentration
- In 1X PBS, pH 7.4, with 0.09% sodium azide
- Storage
- Aliquot the zebrafish ak2 antibody and store frozen at -20oC or colder. Avoid repeated freeze-thaw cycles.
No comments: Submit comment
Supportive validation
- Submitted by
- NSJ Bioreagents (provider)
- Main image

- Experimental details
- Western blot testing of 1) whole zebrafish, 2) zebrafish ZF4, 3) human heart and 4) mouse liver lysate with zebrafish ak2 antibody. Predicted molecular weight ~26 kDa.
Supportive validation
- Submitted by
- NSJ Bioreagents (provider)
- Main image

- Experimental details
- IHC testing of FFPE zebrafish body tissue with zebrafish ak2 antibody. HIER: steam section in pH6 citrate buffer for 20 min and allow to cool prior to staining.
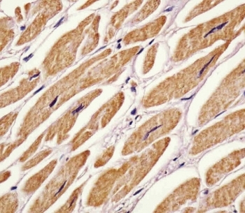
- Submitted by
- NSJ Bioreagents (provider)
- Main image

- Experimental details
- IHC testing of FFPE human heart tissue with zebrafish ak2 antibody. HIER: steam section in pH6 citrate buffer for 20 min and allow to cool prior to staining.
Supportive validation
- Submitted by
- NSJ Bioreagents (provider)
- Main image

- Experimental details
- Flow cytometry testing of fixed and permeabilized zebrafish ZF4 cells with zebrafish ak2 antibody; Blue=isotype control, Green= ak2 antibody.