Antibody data
- Antibody Data
- Antigen structure
- References [0]
- Comments [0]
- Validations
- Western blot [1]
- Immunohistochemistry [3]
Submit
Validation data
Reference
Comment
Report error
- Product number
- NBP2-75604 - Provider product page

- Provider
- Novus Biologicals
- Product name
- Rabbit Monoclonal P2Y6/P2RY6 Antibody
- Antibody type
- Monoclonal
- Description
- Protein A purified.
- Reactivity
- Human
- Host
- Rabbit
- Isotype
- IgG
- Vial size
- 100 ul
- Storage
- Store at 4C short term. Aliquot and store at -20C long term. Avoid freeze-thaw cycles.
No comments: Submit comment
Supportive validation
- Submitted by
- Novus Biologicals (provider)
- Main image

- Experimental details
- Western Blot: P2Y6/P2RY6 Antibody (JG37-77) [NBP2-75604] - Analysis of P2Y6 on SK-Br-3 (1) and A549 (2) cell lysate using anti-P2Y6 antibody at 1/1,000 dilution.
Supportive validation
- Submitted by
- Novus Biologicals (provider)
- Main image

- Experimental details
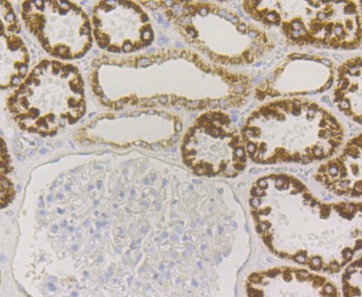
- Immunohistochemistry-Paraffin: P2Y6/P2RY6 Antibody (JG37-77) [NBP2-75604] - Analysis of paraffin-embedded human kidney tissue using anti-P2Y6 antibody. Counter stained with hematoxylin.
- Submitted by
- Novus Biologicals (provider)
- Main image

- Experimental details
- Immunohistochemistry-Paraffin: P2Y6/P2RY6 Antibody (JG37-77) [NBP2-75604] - Analysis of paraffin-embedded human colon tissue using anti-P2Y6 antibody. Counter stained with hematoxylin.
- Submitted by
- Novus Biologicals (provider)
- Main image

- Experimental details
- Immunohistochemistry-Paraffin: P2Y6/P2RY6 Antibody (JG37-77) [NBP2-75604] - Analysis of paraffin-embedded human liver tissue using anti-P2Y6 antibody. Counter stained with hematoxylin.