Antibody data
- Antibody Data
- Antigen structure
- References [0]
- Comments [0]
- Validations
- Western blot [1]
- Immunohistochemistry [1]
Submit
Validation data
Reference
Comment
Report error
- Product number
- PAB19540 - Provider product page
- Provider
- Abnova Corporation
- Proper citation
- Abnova Corporation Cat#PAB19540, RRID:AB_10905954
- Product name
- DLD polyclonal antibody
- Antibody type
- Polyclonal
- Description
- Rabbit polyclonal antibody raised against synthetic peptide of DLD.
- Isotype
- IgG
- Storage
- Store at -20°C on dry atmosphere.After reconstitution with 200 uL of deionized water and concentration will be 500 ug/mL, store at -20°C or lower.Aliquot to avoid repeated freezing and thawing.
No comments: Submit comment
Supportive validation
- Submitted by
- Abnova Corporation (provider)
- Main image
- Experimental details
- Western blot analysis of tissue lysates with DLD polyclonal antibody (Cat # PAB19540).Lane 1 : rat brainLane 2 : rat liver
Supportive validation
- Submitted by
- Abnova Corporation (provider)
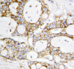
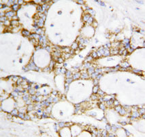
- Main image
- Experimental details
- Immunohistochemical staining of paraffin embedded human breast cancer tissue section with DLD polyclonal antibody (Cat # PAB19540).
- Validation comment
- Immunohistochemistry (Formalin/PFA-fixed paraffin-embedded sections)