Antibody data
- Antibody Data
- Antigen structure
- References [0]
- Comments [0]
- Validations
- Western blot [1]
- Immunohistochemistry [3]
- Flow cytometry [1]
Submit
Validation data
Reference
Comment
Report error
- Product number
- RQ6669 - Provider product page

- Provider
- NSJ Bioreagents
- Product name
- PDLIM7 Antibody
- Antibody type
- Polyclonal
- Description
- This highly specific PDLIM7 antibody is suitable for use in Western blot/Immunohistochemistry/Flow cytometry/Direct ELISA applications with human, mouse and rat samples.
- Reactivity
- Human, Mouse, Rat
- Host
- Rabbit
- Conjugate
- Unconjugated
- Vial size
- 100 ug
- Concentration
- 0.5mg/ml if reconstituted with 0.2ml sterile DI water
- Storage
- After reconstitution, the PDLIM7 antibody can be stored for up to one month at 4oC. For long-term, aliquot and store at -20oC. Avoid repeated freezing and thawing.
No comments: Submit comment
Supportive validation
- Submitted by
- NSJ Bioreagents (provider)
- Main image

- Experimental details
- Western blot testing of 1) human HeLa, 2) human SK-OV-3, 3) human K562, 4) human Raji, 5) rat skeletal muscle, 6) rat C6, 7) mouse skeletal muscle and 8) mouse RAW264.7 cell lysate with PDLIM7 antibody. Multiple isoforms with predicted molecular weights of 16-50 kDa.
Supportive validation
- Submitted by
- NSJ Bioreagents (provider)
- Main image

- Experimental details
- IHC staining of FFPE human gall bladder adenosquamous carcinoma tissue with PDLIM7 antibody. HIER: boil tissue sections in pH8 EDTA for 20 min and allow to cool before testing.
- Submitted by
- NSJ Bioreagents (provider)
- Main image

- Experimental details
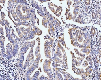
- IHC staining of FFPE human appendiceal adenocarcinoma tissue with PDLIM7 antibody. HIER: boil tissue sections in pH8 EDTA for 20 min and allow to cool before testing.
- Submitted by
- NSJ Bioreagents (provider)
- Main image

- Experimental details
- IHC staining of FFPE human gastric adenocarcinoma tissue with PDLIM7 antibody. HIER: boil tissue sections in pH8 EDTA for 20 min and allow to cool before testing.
Supportive validation
- Submitted by
- NSJ Bioreagents (provider)
- Main image

- Experimental details
- Flow cytometry testing of human A431 cells with PDLIM7 antibody at 1ug/million cells (blocked with goat sera); Red=cells alone, Green=isotype control, Blue= PDLIM7 antibody.