Antibody data
- Antibody Data
- Antigen structure
- References [0]
- Comments [0]
- Validations
- Western blot [1]
- Immunocytochemistry [2]
- Immunoprecipitation [1]
- Immunohistochemistry [2]
Submit
Validation data
Reference
Comment
Report error
- Product number
- GTX54741 - Provider product page

- Provider
- GeneTex
- Product name
- eIF2B3 antibody [1H3]
- Antibody type
- Monoclonal
- Reactivity
- Human, Rat, Simian
- Host
- Mouse
No comments: Submit comment
Supportive validation
- Submitted by
- GeneTex (provider)
- Main image

- Experimental details
- WB analysis of various cell lysate (80?g per lane) using eIF2B3 antibody [1H3] at a dilution of 1:1000.
- Validation comment
- WB
Supportive validation
- Submitted by
- GeneTex (provider)
- Main image

- Experimental details
- ICC/IF analysis of HeLa cells with (right) or withour (left) eIF2B3 antibody [1H3] at a dilution of 1:50 (green). F-actin (red) was stained with a fluorescent red phalloidin and nuclei (blue) were stained with Hoechst or DAPI.
- Submitted by
- GeneTex (provider)
- Main image

- Experimental details
- ICC/IF analysis of COS7 cells with (right) or withour (left) eIF2B3 antibody [1H3] at a dilution of 1:50 (green). F-actin (red) was stained with a fluorescent red phalloidin and nuclei (blue) were stained with Hoechst or DAPI.
Supportive validation
- Submitted by
- GeneTex (provider)
- Main image

- Experimental details
- IP analysis was performed with U2OS lysate and eIF2B3 antibody [1H3]. The precipitate was detected by the same antibody with EasyBlot as secondary antibody.
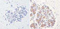
Supportive validation
- Submitted by
- GeneTex (provider)
- Main image

- Experimental details
- IHC-P analysis of human uterus tissue with (right) or without (left) eIF2B3 antibody [1H3] at a dilution of 1:100. To expose target proteins, antigen retrieval method was performed using 10mM sodium citrate (pH 6.0), microwaved for 8-15 min.
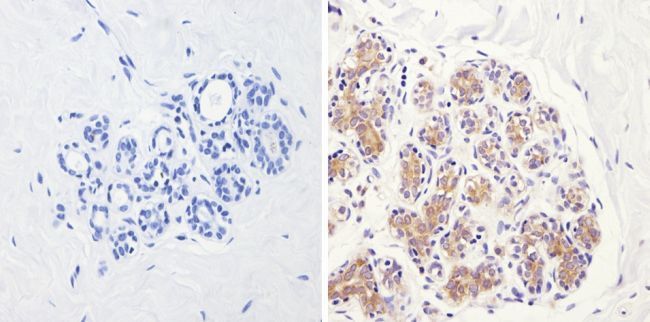
- Submitted by
- GeneTex (provider)
- Main image

- Experimental details
- IHC-P analysis of human breast tissue with (right) or without (left) eIF2B3 antibody [1H3] at a dilution of 1:200. To expose target proteins, antigen retrieval method was performed using 10mM sodium citrate (pH 6.0), microwaved for 8-15 min.