Antibody data
- Antibody Data
- Antigen structure
- References [0]
- Comments [0]
- Validations
- Western blot [3]
- Immunocytochemistry [3]
- Immunohistochemistry [9]
- Flow cytometry [2]
Submit
Validation data
Reference
Comment
Report error
- Product number
- RQ5695 - Provider product page

- Provider
- NSJ Bioreagents
- Product name
- FEN-1 Antibody
- Antibody type
- Polyclonal
- Description
- This highly specific FEN-1 antibody is suitable for use in Western blot/Immunohistochemistry/Immunofluorescence/Flow cytometry/Direct ELISA applications with human, mouse and rat samples.
- Reactivity
- Human, Mouse, Rat
- Host
- Rabbit
- Conjugate
- Unconjugated
- Vial size
- 100 ug
- Concentration
- 0.5mg/ml if reconstituted with 0.2ml sterile DI water
- Storage
- After reconstitution, the FEN-1 antibody can be stored for up to one month at 4oC. For long-term, aliquot and store at -20oC. Avoid repeated freezing and thawing.
No comments: Submit comment
Supportive validation
- Submitted by
- NSJ Bioreagents (provider)
- Main image

- Experimental details
- Western blot testing of human 1) placenta, 2) U-2 OS, 3) K562, 4) T-47D, 5) HL-60, 6) A431, 7) HeLa and 8) PC-3 lysate with FEN-1 antibody. Expected molecular weight ~45 kDa.
- Submitted by
- NSJ Bioreagents (provider)
- Main image

- Experimental details
- Western blot testing of 1) rat thymus, 2) mouse thymus and 3) mouse SP2/0 lysate with FEN-1 antibody. Expected molecular weight ~45 kDa.
- Submitted by
- NSJ Bioreagents (provider)
- Main image

- Experimental details
- Western blot testing of 1) human HeLa, 2) human Daudi, 3) human U-2 OS, 4) human K562, 5) rat PC-12 and 6) mouse SP2/0 cell lysate with FEN-1 antibody. Expected molecular weight ~45 kDa.
Supportive validation
- Submitted by
- NSJ Bioreagents (provider)
- Main image

- Experimental details
- Immunofluorescent staining of FFPE human A431 cells with FEN-1 antibody (red) and DAPI nuclear stain (blue). HIER: steam section in pH6 citrate buffer for 20 min.
- Submitted by
- NSJ Bioreagents (provider)
- Main image

- Experimental details
- Immunofluorescent staining of FFPE human U-2 OS cells with FEN-1 antibody (red) and Beta Tubulin mAb (green). HIER: steam section in pH6 citrate buffer for 20 min.
- Submitted by
- NSJ Bioreagents (provider)
- Main image

- Experimental details
- Immunofluorescent staining of FFPE human intestinal cancer tissue with FEN-1 antibody. HIER: steam section in pH8 EDTA buffer for 20 min.
Supportive validation
- Submitted by
- NSJ Bioreagents (provider)
- Main image

- Experimental details
- IHC staining of FFPE human tonsil with FEN-1 antibody. HIER: boil tissue sections in pH8 EDTA for 20 min and allow to cool before testing.
- Submitted by
- NSJ Bioreagents (provider)
- Main image

- Experimental details
- IHC staining of FFPE human rectal cancer with FEN-1 antibody. HIER: boil tissue sections in pH8 EDTA for 20 min and allow to cool before testing.
- Submitted by
- NSJ Bioreagents (provider)
- Main image

- Experimental details
- IHC staining of FFPE mouse spleen with FEN-1 antibody. HIER: boil tissue sections in pH8 EDTA for 20 min and allow to cool before testing.
- Submitted by
- NSJ Bioreagents (provider)
- Main image

- Experimental details
- IHC staining of FFPE rat spleen with FEN-1 antibody. HIER: boil tissue sections in pH8 EDTA for 20 min and allow to cool before testing.
- Submitted by
- NSJ Bioreagents (provider)
- Main image

- Experimental details
- IHC staining of FFPE human ovarian serous adenocarcinoma with FEN-1 antibody. HIER: boil tissue sections in pH8 EDTA for 20 min and allow to cool before testing.
- Submitted by
- NSJ Bioreagents (provider)
- Main image

- Experimental details
- IHC staining of FFPE human esophageal squamous carcinoma with FEN-1 antibody. HIER: boil tissue sections in pH8 EDTA for 20 min and allow to cool before testing.
- Submitted by
- NSJ Bioreagents (provider)
- Main image

- Experimental details
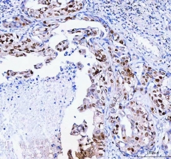
- IHC staining of FFPE human liver cancer with FEN-1 antibody. HIER: boil tissue sections in pH8 EDTA for 20 min and allow to cool before testing.
- Submitted by
- NSJ Bioreagents (provider)
- Main image

- Experimental details
- IHC staining of FFPE human lung adenocarcinoma with FEN-1 antibody. HIER: boil tissue sections in pH8 EDTA for 20 min and allow to cool before testing.
- Submitted by
- NSJ Bioreagents (provider)
- Main image

- Experimental details
- IHC staining of FFPE human rectal cancer with FEN-1 antibody. HIER: boil tissue sections in pH8 EDTA for 20 min and allow to cool before testing.
Supportive validation
- Submitted by
- NSJ Bioreagents (provider)
- Main image

- Experimental details
- Flow cytometry testing of human U-2 OS cells with FEN-1 antibody at 1ug/million cells (blocked with goat sera); Red=cells alone, Green=isotype control, Blue= FEN-1 antibody.
- Submitted by
- NSJ Bioreagents (provider)
- Main image

- Experimental details
- Flow cytometry testing of fixed and permeabilized human K562 cells with FEN-1 antibody at 1ug/million cells (blocked with goat sera); Red=cells alone, Green=isotype control, Blue= FEN-1 antibody.