Antibody data
- Antibody Data
- Antigen structure
- References [0]
- Comments [0]
- Validations
- Immunohistochemistry [1]
Submit
Validation data
Reference
Comment
Report error
- Product number
- A03222-1 - Provider product page

- Provider
- Boster Biological Technology
- Product name
- Anti-Thrombopoietin/Thpo Antibody Picoband™
- Antibody type
- Polyclonal
- Description
- Polyclonal antibody for Thrombopoietin/Thpo detection. Host: Rabbit.Size: 100μg/vial. Tested applications: ELISA. Reactive species: Mouse. Thrombopoietin/Thpo information: Molecular Weight: 37836 MW; Subcellular Localization: Secreted; Tissue Specificity: Found mainly in the liver, kidney and skeletal muscle.
- Reactivity
- Mouse, Rat
- Host
- Rabbit
- Vial size
- 100μg/vial
- Concentration
- Add 0.2ml of distilled water will yield a concentration of 500ug/ml.
- Storage
- At -20°C for one year. After reconstitution, at 4°C for one month. It can also be aliquoted and stored frozen at -20°C for a longer time. Avoid repeated freezing and thawing.
- Handling
- Add 0.2ml of distilled water will yield a concentration of 500ug/ml.
No comments: Submit comment
Supportive validation
- Submitted by
- Boster Biological Technology (provider)
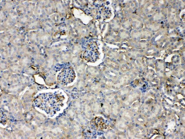
- Main image

- Experimental details
- IHC analysis of Thrombopoietin using anti- Thrombopoietin antibody (A03222-1). Thrombopoietin was detected in paraffin-embedded section of mouse kidney tissues. Heat mediated antigen retrieval was performed in citrate buffer (pH6, epitope retrieval solution) for 20 mins. The tissue section was blocked with 10% goat serum. The tissue section was then incubated with 1μg/ml rabbit anti- Thrombopoietin Antibody (A03222-1) overnight at 4°C. Biotinylated goat anti-rabbit IgG was used as secondary antibody and incubated for 30 minutes at 37°C. The tissue section was developed using Strepavidin-Biotin-Complex (SABC)(Catalog # SA1022) with DAB as the chromogen.
- Additional image
