Antibody data
- Antibody Data
- Antigen structure
- References [0]
- Comments [0]
- Validations
- Western blot [1]
- Immunohistochemistry [13]
Submit
Validation data
Reference
Comment
Report error
- Product number
- LS-C782972 - Provider product page

- Provider
- LSBio
- Product name
- THPO / TPO / Thrombopoietin Antibody LS-C782972
- Antibody type
- Polyclonal
- Description
- Antigen Affinity purification
- Reactivity
- Mouse, Rat
- Host
- Rabbit
- Isotype
- IgG
- Storage
- After reconstitution, store at 4°C for up to 1 month. Long-term: aliquot and store at -20°C. Avoid freeze-thaws cycles.
No comments: Submit comment
Enhanced validation
- Submitted by
- LSBio (provider)
- Enhanced method
- Genetic validation
- Main image

- Experimental details
- Western blot testing of mouse liver tissue lysate with Thrombopoietin antibody at 0.5ug/ml. Predicted molecular weight: 38 kDa, routinely observed at 40-55 kDa (unmodified), 80-95 kDa (glycosylated).
Enhanced validation
- Submitted by
- LSBio (provider)
- Enhanced method
- Genetic validation
- Main image

- Experimental details
- IHC testing of FFPE mouse spleen tissue with Thrombopoietin antibody at 1ug/ml. Required HIER: steam section in pH6 citrate buffer for 20 min and allow to cool prior to testing.
- Submitted by
- LSBio (provider)
- Enhanced method
- Genetic validation
- Main image

- Experimental details
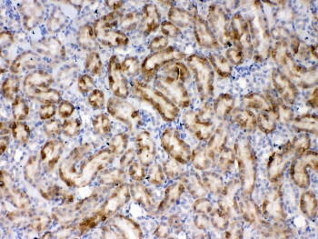
- IHC testing of FFPE mouse kidney tissue with Thrombopoietin antibody at 1ug/ml. Required HIER: steam section in pH6 citrate buffer for 20 min and allow to cool prior to testing.
- Submitted by
- LSBio (provider)
- Enhanced method
- Genetic validation
- Main image

- Experimental details
- IHC testing of FFPE rat kidney tissue with Thrombopoietin antibody at 1ug/ml. Required HIER: steam section in pH6 citrate buffer for 20 min and allow to cool prior to testing.
- Submitted by
- LSBio (provider)
- Enhanced method
- Genetic validation
- Main image

- Experimental details
- IHC testing of FFPE rat spleen tissue with Thrombopoietin antibody at 1ug/ml. Required HIER: steam section in pH6 citrate buffer for 20 min and allow to cool prior to testing.
- Submitted by
- LSBio (provider)
- Enhanced method
- Genetic validation
- Main image

- Experimental details
- IHC testing of FFPE mouse spleen tissue with Thrombopoietin antibody at 1ug/ml. Required HIER: steam section in pH6 citrate buffer for 20 min and allow to cool prior to testing.
- Submitted by
- LSBio (provider)
- Enhanced method
- Genetic validation
- Main image

- Experimental details
- IHC testing of FFPE mouse kidney tissue with Thrombopoietin antibody at 1ug/ml. Required HIER: steam section in pH6 citrate buffer for 20 min and allow to cool prior to testing.
- Submitted by
- LSBio (provider)
- Enhanced method
- Genetic validation
- Main image

- Experimental details
- IHC testing of FFPE rat spleen tissue with Thrombopoietin antibody at 1ug/ml. Required HIER: steam section in pH6 citrate buffer for 20 min and allow to cool prior to testing.
- Submitted by
- LSBio (provider)
- Enhanced method
- Genetic validation
- Main image

- Experimental details
- IHC testing of FFPE mouse liver tissue with Thrombopoietin antibody at 1ug/ml. Required HIER: steam section in pH6 citrate buffer for 20 min and allow to cool prior to testing.
- Submitted by
- LSBio (provider)
- Main image

- Experimental details
- IHC testing of FFPE mouse liver tissue with Thrombopoietin antibody at 1ug/ml. Required HIER: steam section in pH6 citrate buffer for 20 min and allow to cool prior to testing.
- Submitted by
- LSBio (provider)
- Main image

- Experimental details
- IHC testing of FFPE mouse spleen tissue with Thrombopoietin antibody at 1ug/ml. Required HIER: steam section in pH6 citrate buffer for 20 min and allow to cool prior to testing.
- Submitted by
- LSBio (provider)
- Main image

- Experimental details
- IHC testing of FFPE mouse kidney tissue with Thrombopoietin antibody at 1ug/ml. Required HIER: steam section in pH6 citrate buffer for 20 min and allow to cool prior to testing.
- Submitted by
- LSBio (provider)
- Main image

- Experimental details
- IHC testing of FFPE rat kidney tissue with Thrombopoietin antibody at 1ug/ml. Required HIER: steam section in pH6 citrate buffer for 20 min and allow to cool prior to testing.
- Submitted by
- LSBio (provider)
- Main image

- Experimental details
- IHC testing of FFPE rat spleen tissue with Thrombopoietin antibody at 1ug/ml. Required HIER: steam section in pH6 citrate buffer for 20 min and allow to cool prior to testing.