Antibody data
- Antibody Data
- Antigen structure
- References [0]
- Comments [0]
- Validations
- Western blot [1]
- Immunocytochemistry [2]
- Immunohistochemistry [1]
Submit
Validation data
Reference
Comment
Report error
- Product number
- PA5-38263 - Provider product page

- Provider
- Invitrogen Antibodies
- Product name
- Anti-Phospho-Caldesmon (Ser789) Polyclonal Antibody
- Antibody type
- Polyclonal
- Antigen
- Synthetic peptide
- Reactivity
- Human, Mouse, Rat
- Host
- Rabbit
- Isotype
- IgG
- Vial size
- 100 µg
- Concentration
- 1 mg/mL
- Storage
- -20°C
No comments: Submit comment
Supportive validation
- Submitted by
- Invitrogen Antibodies (provider)
- Main image

- Experimental details
- Western blot analysis of Phospho-Caldesmon pSer789 in extracts from HeLa cells using a Phospho-Caldesmon pSer789 polyclonal antibody (Product # PA5-38263).
Supportive validation
- Submitted by
- Invitrogen Antibodies (provider)
- Main image

- Experimental details
- Immunofluorescent analysis of Phospho-Caldesmon pSer789 in HeLa cells using a Phospho-Caldesmon pSer789 polyclonal antibody (Product # PA5-38263).
- Submitted by
- Invitrogen Antibodies (provider)
- Main image

- Experimental details
- Immunofluorescent analysis of Phospho-Caldesmon pSer789 in HeLa cells using a Phospho-Caldesmon pSer789 polyclonal antibody (Product # PA5-38263).
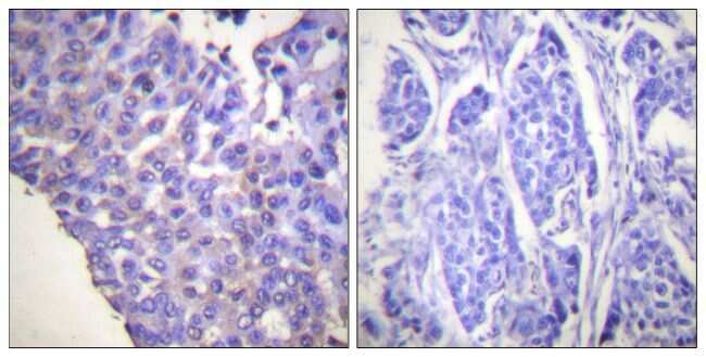
Supportive validation
- Submitted by
- Invitrogen Antibodies (provider)
- Main image

- Experimental details
- Immunohistochemical analysis of Phospho-Caldesmon pSer789 in paraffin-embedded human breast carcinoma using a Phospho-Caldesmon pSer789 polyclonal antibody (Product # PA5-38263).