Antibody data
- Antibody Data
- Antigen structure
- References [0]
- Comments [0]
- Validations
- Western blot [2]
- Immunocytochemistry [1]
- Immunohistochemistry [5]
- Flow cytometry [1]
Submit
Validation data
Reference
Comment
Report error
- Product number
- R32405 - Provider product page

- Provider
- NSJ Bioreagents
- Product name
- Caldesmon Antibody / CALD1 / CAD
- Antibody type
- Polyclonal
- Description
- This highly specific Caldesmon antibody is suitable for use in Western blot/Immunohistochemistry/Immunofluorescence/Flow cytometry applications with human, mouse and rat samples.
- Reactivity
- Human, Mouse, Rat
- Host
- Rabbit
- Conjugate
- Unconjugated
- Vial size
- 100 ug
- Concentration
- 0.5mg/ml if reconstituted with 0.2ml sterile DI water
- Storage
- After reconstitution, the Caldesmon antibody can be stored for up to one month at 4oC. For long-term, aliquot and store at -20oC. Avoid repeated freezing and thawing.
No comments: Submit comment
Supportive validation
- Submitted by
- NSJ Bioreagents (provider)
- Main image

- Experimental details
- Western blot testing of 1) rat skeletal muscle and 2) human HeLa lysate with Caldesmon antibody. Expected/observed molecular weight ~93 kDa.
- Submitted by
- NSJ Bioreagents (provider)
- Main image

- Experimental details
- Western blot testing of 1) human U-2 OS, 2) human A549, 3) human HepG2, 4) human HeLa, 5) human Caco-2 and 6) mouse NIH 3T3 cell lysate with Caldesmon antibody. Predicted molecular weight ~93 kDa, can be observed at 70-80 kDa (non muscle tissue) and 120-150 kDa (smooth muscle).
Supportive validation
- Submitted by
- NSJ Bioreagents (provider)
- Main image

- Experimental details
- Immunofluorescent staining of FFPE human SiHa cells with Caldesmon antibody (green) and DAPI nuclear stain (blue). HIER: steam section in pH6 citrate buffer for 20 min.
Supportive validation
- Submitted by
- NSJ Bioreagents (provider)
- Main image

- Experimental details
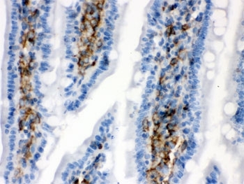
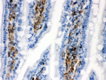
- IHC testing of FFPE human intestine with Caldesmon antibody. HIER: Boil the paraffin sections in pH 6, 10mM citrate buffer for 20 minutes and allow to cool prior to testing.
- Submitted by
- NSJ Bioreagents (provider)
- Main image

- Experimental details
- IHC testing of FFPE mouse intestine with Caldesmon antibody. HIER: Boil the paraffin sections in pH 6, 10mM citrate buffer for 20 minutes and allow to cool prior to testing.
- Submitted by
- NSJ Bioreagents (provider)
- Main image

- Experimental details
- IHC testing of FFPE rat intestine with Caldesmon antibody. HIER: Boil the paraffin sections in pH 6, 10mM citrate buffer for 20 minutes and allow to cool prior to testing.
- Submitted by
- NSJ Bioreagents (provider)
- Main image

- Experimental details
- IHC testing of FFPE mouse intestine with Caldesmon antibody. HIER: Boil the paraffin sections in pH 6, 10mM citrate buffer for 20 minutes and allow to cool prior to testing.
- Submitted by
- NSJ Bioreagents (provider)
- Main image

- Experimental details
- IHC testing of FFPE rat intestine with Caldesmon antibody. HIER: Boil the paraffin sections in pH 6, 10mM citrate buffer for 20 minutes and allow to cool prior to testing.
Supportive validation
- Submitted by
- NSJ Bioreagents (provider)
- Main image

- Experimental details
- Flow cytometry testing of human U-87 MG cells with Caldesmon antibody at 1ug/million cells (blocked with goat sera); Red=cells alone, Green=isotype control, Blue= Caldesmon antibody.