Antibody data
- Antibody Data
- Antigen structure
- References [0]
- Comments [0]
- Validations
- Western blot [1]
- ELISA [1]
- Immunohistochemistry [2]
Submit
Validation data
Reference
Comment
Report error
- Product number
- AM06596SU-N - Provider product page

- Provider
- Acris Antibodies GmbH
- Proper citation
- Acris Antibodies GmbH Cat#AM06596SU-N, RRID:AB_11215037
- Product name
- anti BMPR2
- Antibody type
- Monoclonal
- Antigen
- Purified recombinant fragment of human BMPR2 expressed in E. Coli.
- Reactivity
- Human, Mouse, Rat, Simian
- Host
- Mouse
- Isotype
- IgG
- Antibody clone number
- 1F12
- Vial size
- 0.1 ml
No comments: Submit comment
Supportive validation
- Submitted by
- Acris Antibodies GmbH (provider)
- Main image

- Experimental details
- Western blot analysis using BMPR2 antibody Cat.-No AM06596SU-N against Hela (Lane 1), A431 (Lane 2), NIH/3T3 (Lane 3), Cos7 (Lane 4) and PC-12 (Lane 5) cell lysate.
Supportive validation
- Submitted by
- Acris Antibodies GmbH (provider)
- Main image

Supportive validation
- Submitted by
- Acris Antibodies GmbH (provider)
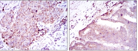
- Main image

- Experimental details
- Immunohistochemical analysis of paraffin-embedded breast cancer tissues (left) and tonsil tissues (right) using BMPR2 antibody Cat.-No AM06596SU-N with DAB staining.
- Submitted by
- Acris Antibodies GmbH (provider)
- Main image

- Experimental details
- Immunohistochemical analysis of paraffin-embedded kidney cancer tissues (left) and stomach cancer tissues (right) using BMPR2 antibody Cat.-No AM06596SU-N with DAB staining.