Antibody data
- Antibody Data
- Antigen structure
- References [0]
- Comments [0]
- Validations
- Western blot [2]
- Immunohistochemistry [4]
Submit
Validation data
Reference
Comment
Report error
- Product number
- LS-C100381 - Provider product page

- Provider
- LSBio
- Proper citation
- LifeSpan Cat#LS-C100381, RRID:AB_2113289
- Product name
- GREM1 / Gremlin-1 Antibody (aa147-175) LS-C100381
- Antibody type
- Polyclonal
- Description
- Ammonium sulfate precipitation
- Reactivity
- Human, Mouse
- Host
- Rabbit
- Storage
- Maintain refrigerated at 2°C to 8°C for up to 6 months. For long term storage store at -20°C.
No comments: Submit comment
Enhanced validation
- Submitted by
- LSBio (provider)
- Enhanced method
- Genetic validation
- Main image

- Experimental details
- Western blot of anti-Gremlin antibody in CEM cell line lysates (35 ug/lane). Gremlin (arrow) was detected using the purified antibody.
- Submitted by
- LSBio (provider)
- Enhanced method
- Genetic validation
- Main image

- Experimental details
- Western blot of anti-Gremlin antibody in mouse liver cell lysate. Gremlin (arrow) was detected using purified antibody. Secondary HRP-anti-rabbit was used for signal visualization with chemiluminescence.
Supportive validation
- Submitted by
- LSBio (provider)
- Enhanced method
- Genetic validation
- Main image

- Experimental details
- Formalin-PBS and Bouin embedded paraffin human renal tissue pretreated with heat induced epitope retrieval Citrate buffer pH 6.0 in microwave. Dilution of primary antibody was 1:50. Detection method was ABC system or Vectastaint Elite VECTOR. Data and protocol courtesy of Dr. Maria E. Burgos of Universidad Austral de Chile.
- Submitted by
- LSBio (provider)
- Enhanced method
- Genetic validation
- Main image

- Experimental details
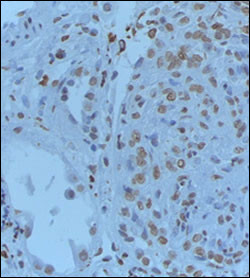
- Formalin-fixed and paraffin-embedded human skeletal muscle tissue reacted with GREMLIN Antibody , which was peroxidase-conjugated to the secondary antibody, followed by DAB staining. This data demonstrates the use of this antibody for immunohistochemistry; clinical relevance has not been evaluated.
- Submitted by
- LSBio (provider)
- Main image

- Experimental details
- Formalin-PBS and Bouin embedded paraffin human renal tissue pretreated with heat induced epitope retrieval Citrate buffer pH 6.0 in microwave. Dilution of primary antibody was 1:50. Detection method was ABC system or Vectastaint Elite VECTOR. Data and protocol courtesy of Dr. Maria E. Burgos of Universidad Austral de Chile.
- Submitted by
- LSBio (provider)
- Main image

- Experimental details
- Formalin-fixed and paraffin-embedded human skeletal muscle tissue reacted with GREMLIN Antibody , which was peroxidase-conjugated to the secondary antibody, followed by DAB staining. This data demonstrates the use of this antibody for immunohistochemistry; clinical relevance has not been evaluated.