Antibody data
- Antibody Data
- Antigen structure
- References [0]
- Comments [0]
- Validations
- Western blot [1]
- Immunohistochemistry [1]
Submit
Validation data
Reference
Comment
Report error
- Product number
- GTX81369 - Provider product page

- Provider
- GeneTex
- Proper citation
- GeneTex Cat#GTX81369, RRID:AB_11167757
- Product name
- PTPN7 antibody
- Antibody type
- Polyclonal
- Reactivity
- Human
- Host
- Rabbit
No comments: Submit comment
Supportive validation
- Submitted by
- GeneTex (provider)
- Main image

- Experimental details
- Western blot analysis of anti-PTPN7 Antibody (S44)(GTX81369) in Jurkat cell line lysates (35ug/lane).PTPN7 (arrow) was detected using the purified Pab.
- Validation comment
- WB
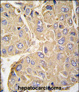
Supportive validation
- Submitted by
- GeneTex (provider)
- Main image

- Experimental details
- Formalin-fixed and paraffin-embedded human hepatocarcinoma tissue reacted with PTPN7 Antibody (S44) (GTX81369), which was peroxidase-conjμgated to the secondary antibody, followed by DAB staining. This data demonstrates the use of this antibody for immunohistochemistry; clinical relevance has not been evaluated.