Antibody data
- Antibody Data
- Antigen structure
- References [0]
- Comments [0]
- Validations
- Western blot [1]
- Immunohistochemistry [1]
Submit
Validation data
Reference
Comment
Report error
- Product number
- NB100-93554 - Provider product page

- Provider
- Novus Biologicals
- Proper citation
- Novus Cat#NB100-93554, RRID:AB_1236641
- Product name
- Rabbit Polyclonal alpha-2C Adrenergic R/ADRA2C Antibody
- Antibody type
- Polyclonal
- Description
- Immunogen affinity purified. Alpha2c protein
- Reactivity
- Human, Mouse, Rat
- Host
- Rabbit
- Isotype
- IgG
- Vial size
- 0.1 mg
- Concentration
- 1 mg/ml
- Storage
- Store at 4C short term. Aliquot and store at -20C long term. Avoid freeze-thaw cycles.
No comments: Submit comment
Supportive validation
- Submitted by
- Novus Biologicals (provider)
- Main image

- Experimental details
- Western Blot: alpha-2C Adrenergic R/ADRA2C Antibody [NB100-93554] - Detection of Alpha 2c Adrenergic Receptor in 20 ug of human brain lysate (lane 2) with polyclonal antibody NB100-93554 at a dilution of 1:1000 followed by AP-conjugated secondary antibody at 1:5000 dilution. Lane 1 represents the MW markers.
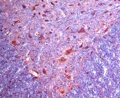
Supportive validation
- Submitted by
- Novus Biologicals (provider)
- Main image

- Experimental details
- Immunohistochemistry: alpha-2C Adrenergic R/ADRA2C Antibody [NB100-93554] - Staining of Alpha 2c Adrenergic Receptor in rat's ventral spinal cord. NB100-93554 was employed at a dilution of 1:100-1:300 and detection was carried out using HRP-AEC staining reagents (red color) followed by counterstaining with hematoxylin.