Antibody data
- Antibody Data
- Antigen structure
- References [0]
- Comments [0]
- Validations
- Western blot [5]
- Immunohistochemistry [2]
Submit
Validation data
Reference
Comment
Report error
- Product number
- GTX115148 - Provider product page

- Provider
- GeneTex
- Proper citation
- GeneTex Cat#GTX115148, RRID:AB_10619235
- Product name
- ALDH1A2 antibody [C1C3]
- Antibody type
- Polyclonal
- Reactivity
- Human, Mouse, Rat
- Host
- Rabbit
No comments: Submit comment
Supportive validation
- Submitted by
- GeneTex (provider)
- Main image

- Experimental details
- Sample (50 ?g of whole cell lysate) A: mouse liver 7.5% SDS PAGE GTX115148 diluted at 1:10000 The HRP-conjugated anti-rabbit IgG antibody (GTX213110-01) was used to detect the primary antibody.
- Submitted by
- GeneTex (provider)
- Main image

- Experimental details
- Sample (30 ?g of whole cell lysate) A: IMR32 10% SDS PAGE GTX115148 diluted at 1:1000 The HRP-conjugated anti-rabbit IgG antibody (GTX213110-01) was used to detect the primary antibody.
- Submitted by
- GeneTex (provider)
- Main image

- Experimental details
- ALDH1A2 antibody detects ALDH1A2 protein by western blot analysis. Mouse tissue extracts (50 ?g) was separated by 10% SDS-PAGE, and the membrane was blotted with ALDH1A2 antibody (GTX115148) diluted by 1:1000. The HRP-conjugated anti-rabbit IgG antibody (GTX213110-01) was used to detect the primary antibody.
- Submitted by
- GeneTex (provider)
- Main image

- Experimental details
- ALDH1A2 antibody detects ALDH1A2 protein by western blot analysis. Rat tissue extracts (50 ?g) was separated by 10% SDS-PAGE, and the membrane was blotted with ALDH1A2 antibody (GTX115148) diluted by 1:1000. The HRP-conjugated anti-rabbit IgG antibody (GTX213110-01) was used to detect the primary antibody.
- Submitted by
- GeneTex (provider)
- Main image

- Experimental details
- Mouse tissue extract (50 ?g) was separated by 10% SDS-PAGE, and the membrane was blotted with ALDH1A2 antibody (GTX115148) diluted at 1:1000. The HRP-conjugated anti-rabbit IgG antibody (GTX213110-01) was used to detect the primary antibody.
Supportive validation
- Submitted by
- GeneTex (provider)
- Main image

- Experimental details
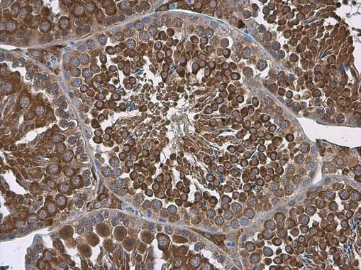
- ALDH1A2 antibody [C1C3] detects ALDH1A2 protein at cytoplasm in mouse testis by immunohistochemical analysis. Sample: Paraffin-embedded mouse testis. ALDH1A2 antibody [C1C3] (GTX115148) diluted at 1:500.
- Submitted by
- GeneTex (provider)
- Main image

- Experimental details
- ALDH1A2 antibody [C1C3] detects ALDH1A2 protein at cytoplasm in mouse testis by immunohistochemical analysis. Sample: Paraffin-embedded mouse testis. ALDH1A2 antibody [C1C3] (GTX115148) diluted at 1:500.