Antibody data
- Antibody Data
- Antigen structure
- References [0]
- Comments [0]
- Validations
- Western blot [1]
- Immunohistochemistry [3]
Submit
Validation data
Reference
Comment
Report error
- Product number
- LS-C340468 - Provider product page

- Provider
- LSBio
- Product name
- FMO3 Antibody (aa1-291, clone OTI3H1) LS-C340468
- Antibody type
- Monoclonal
- Description
- Immunoaffinity purified
- Reactivity
- Human
- Host
- Mouse
- Isotype
- IgG
- Antibody clone number
- OTI3H1
- Storage
- Store at -20°C. Avoid freeze-thaw cycles.
No comments: Submit comment
Enhanced validation
- Submitted by
- LSBio (provider)
- Enhanced method
- Genetic validation
- Main image

- Experimental details
- HEK293T cells were transfected with the pCMV6-ENTRY control (Left lane) or pCMV6-ENTRY FMO3 (Right lane) cDNA for 48 hrs and lysed. Equivalent amounts of cell lysates (5 ug per lane) were separated by SDS-PAGE and immunoblotted with anti-FMO3 (1:2000).
Supportive validation
- Submitted by
- LSBio (provider)
- Enhanced method
- Genetic validation
- Main image

- Experimental details
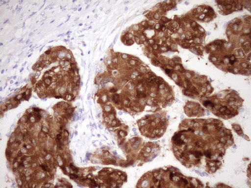
- IHC of paraffin-embedded Carcinoma of Human liver tissue using anti-FMO3 mouse monoclonal antibody. (Heat-induced epitope retrieval by Tris-EDTA, pH8.0)(1:150).
- Submitted by
- LSBio (provider)
- Enhanced method
- Genetic validation
- Main image

- Experimental details
- IHC of paraffin-embedded Carcinoma of Human liver tissue using anti-FMO3 mouse monoclonal antibody. (Heat-induced epitope retrieval by Tris-EDTA, pH8.0)(1:150).
- Submitted by
- LSBio (provider)
- Enhanced method
- Genetic validation
- Main image

- Experimental details
- IHC of paraffin-embedded Carcinoma of Human liver tissue using anti-FMO3 mouse monoclonal antibody. (Heat-induced epitope retrieval by Tris-EDTA, pH8.0)(1:150).