Antibody data
- Antibody Data
- Antigen structure
- References [0]
- Comments [0]
- Validations
- Western blot [6]
- Immunocytochemistry [2]
- Immunohistochemistry [6]
- Other assay [1]
Submit
Validation data
Reference
Comment
Report error
- Product number
- 20854-1-AP - Provider product page

- Provider
- Invitrogen Antibodies
- Product name
- NSUN2 Polyclonal Antibody
- Antibody type
- Polyclonal
- Antigen
- Other
- Reactivity
- Human
- Host
- Rabbit
- Isotype
- IgG
- Vial size
- 150 µL
- Concentration
- 0.31 mg/mL
- Storage
- -20°C
No comments: Submit comment
Supportive validation
- Submitted by
- Invitrogen Antibodies (provider)
- Main image

- Experimental details
- COLO 320 cells were subjected to SDS PAGE followed by western blot with 20854-1-AP (NSUN2 antibody) at dilution of 1:500 incubated at room temperature for 1.5 hours.
- Submitted by
- Invitrogen Antibodies (provider)
- Main image

- Experimental details
- HepG2 cells were subjected to SDS PAGE followed by western blot with 20854-1-AP (NSUN2 antibody) at dilution of 1:500 incubated at room temperature for 1.5 hours.
- Submitted by
- Invitrogen Antibodies (provider)
- Main image

- Experimental details
- WB result of NSUN2 antibody (20854-1-AP, 1:5000) with si-Control and si-NSUN2 transfected HepG2 cells.
- Submitted by
- Invitrogen Antibodies (provider)
- Main image

- Experimental details
- HeLa cells were subjected to SDS PAGE followed by western blot with 20854-1-AP (NSUN2 antibody) at dilution of 1:500 incubated at room temperature for 1.5 hours.
- Submitted by
- Invitrogen Antibodies (provider)
- Main image

- Experimental details
- MCF7 cells were subjected to SDS PAGE followed by western blot with 20854-1-AP (NSUN2 antibody) at dilution of 1:500 incubated at room temperature for 1.5 hours.
- Submitted by
- Invitrogen Antibodies (provider)
- Main image

- Experimental details
- SH-SY5Y cells were subjected to SDS PAGE followed by western blot with 20854-1-AP (NSUN2 antibody) at dilution of 1:800 incubated at room temperature for 1.5 hours.
Supportive validation
- Submitted by
- Invitrogen Antibodies (provider)
- Main image

- Experimental details
- Immunofluorescent analysis of Hela cells, using NSUN2 antibody 20854-1-AP at 1:25 dilution and Rhodamine-labeled goat anti-rabbit IGG (red).
- Submitted by
- Invitrogen Antibodies (provider)
- Main image

- Experimental details
- Immunofluorescent analysis of HepG2 cells, using NSUN2 antibody 20854-1-AP at 1:25 dilution and Rhodamine-labeled goat anti-rabbit IgG (red).
Supportive validation
- Submitted by
- Invitrogen Antibodies (provider)
- Main image

- Experimental details
- Immunohistochemistry of paraffin-embedded human breast cancer using 20854-1-AP (NSUN2 antibody) at dilution of 1:100 (under 10x lens).
- Submitted by
- Invitrogen Antibodies (provider)
- Main image

- Experimental details
- Immunohistochemistry of paraffin-embedded human breast cancer using 20854-1-AP (NSUN2 antibody) at dilution of 1:100 (under 40x lens).
- Submitted by
- Invitrogen Antibodies (provider)
- Main image

- Experimental details
- Immunohistochemistry of paraffin-embedded human testis using 20854-1-AP (NSUN2 antibody) at dilution of 1:100 (under 10x lens).
- Submitted by
- Invitrogen Antibodies (provider)
- Main image

- Experimental details
- Immunohistochemistry of paraffin-embedded human testis using 20854-1-AP (NSUN2 antibody) at dilution of 1:100 (under 40x lens).
- Submitted by
- Invitrogen Antibodies (provider)
- Main image

- Experimental details
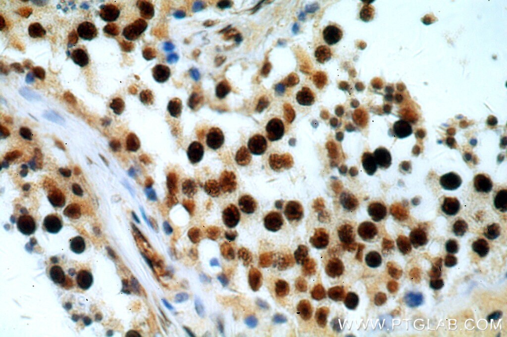
- Immunohistochemistry of paraffin-embedded human breast cancer tissue slide using 20854-1-AP ( NSUN2 Antibody) at dilution of 1:200 (under 10x lens). heat mediated antigen retrieved with Tris-EDTA buffer (pH 9).
- Submitted by
- Invitrogen Antibodies (provider)
- Main image

- Experimental details
- Immunohistochemistry of paraffin-embedded human breast cancer tissue slide using 20854-1-AP ( NSUN2 Antibody) at dilution of 1:200 (under 40x lens). heat mediated antigen retrieved with Tris-EDTA buffer (pH 9).
Supportive validation
- Submitted by
- Invitrogen Antibodies (provider)
- Main image

- Experimental details
- IP result of anti-NSUN2 (IP:20854-1-AP, 4ug; Detection:20854-1-AP 1:1000) with HeLa cells lysate 4000ug.