Antibody data
- Antibody Data
- Antigen structure
- References [1]
- Comments [0]
- Validations
- Western blot [1]
- Immunohistochemistry [1]
Submit
Validation data
Reference
Comment
Report error
- Product number
- ABIN500678 - Provider product page

- Provider
- antibodies-online
- Product name
- anti-Secretory Carrier Membrane Protein 4 (SCAMP4) antibody
- Antibody type
- Polyclonal
- Antigen
- SCAMP4 antibody was raised against a 15 amino acid peptide near the carboxy terminus ofhuman SCAMP4.
- Reactivity
- Human, Mouse, Rat
- Host
- Rabbit
- Isotype
- IgG
- Vial size
- 0.1 mg
- Storage
- Store at 2 - 8 °C for up to one month or (in aliquots) at -20 °C for longer. Avoid repeatedfreezing and thawing. Shelf life: one year from despatch.
Submitted references The secretory carrier membrane protein family: structure and membrane topology.
Hubbard C, Singleton D, Rauch M, Jayasinghe S, Cafiso D, Castle D
Molecular biology of the cell 2000 Sep;11(9):2933-47
Molecular biology of the cell 2000 Sep;11(9):2933-47
No comments: Submit comment
Supportive validation
- Submitted by
- antibodies-online (provider)
- Main image

- Experimental details
- Western blot analysis of SCAMP4 in 3T3 cell lysate with AP30762PU-N at (A) 1 and (B) 2 ?g/ml.
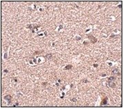
Supportive validation
- Submitted by
- antibodies-online (provider)
- Main image

- Experimental details
- Immunohistochemistry of SCAMP4 in human brain tissue with AP30762PU-N at 2.5 ?g/ml.