Antibody data
- Antibody Data
- Antigen structure
- References [0]
- Comments [0]
- Validations
- Western blot [1]
- Immunohistochemistry [7]
- Flow cytometry [1]
Submit
Validation data
Reference
Comment
Report error
- Product number
- GTX16702 - Provider product page

- Provider
- GeneTex
- Proper citation
- GeneTex Cat#GTX16702, RRID:AB_422357
- Product name
- CD23 antibody [SP23]
- Antibody type
- Monoclonal
- Reactivity
- Human
- Host
- Rabbit
No comments: Submit comment
Supportive validation
- Submitted by
- GeneTex (provider)
- Main image

- Experimental details
- Western Blot analysis of Raji cell lysate with CD23 antibody
Supportive validation
- Submitted by
- GeneTex (provider)
- Main image

- Experimental details
- Formalin fixed paraffin embedded human tonsil stained with CD23 antibody (GTX16702)
- Submitted by
- GeneTex (provider)
- Main image

- Experimental details
- Human Tonsil stained with anti-CD23 antibody
- Submitted by
- GeneTex (provider)
- Main image

- Experimental details
- Human Tonsil stained with anti-CD23 antibody
- Submitted by
- GeneTex (provider)
- Main image

- Experimental details
- Human Thymus stained with anti-CD23 antibody
- Submitted by
- GeneTex (provider)
- Main image

- Experimental details
- Human Reactive Lymph Node stained with anti-CD23 antibody
- Submitted by
- GeneTex (provider)
- Main image

- Experimental details
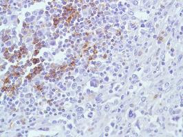
- Human HK Lymphoma stained with anti-CD23 antibody
- Submitted by
- GeneTex (provider)
- Main image

- Experimental details
- Human Stomach Adenocarcinoma stained with anti-CD23 antibody
Supportive validation
- Submitted by
- GeneTex (provider)
- Main image

- Experimental details
- Flow cytometric analysis of rabbit anti-CD23 (SP23) antibody in Jurkat (green) compare to negative control of rabbit IgG (blue)