Antibody data
- Antibody Data
- Antigen structure
- References [1]
- Comments [0]
- Validations
- Western blot [1]
- Immunocytochemistry [1]
- Immunohistochemistry [2]
Submit
Validation data
Reference
Comment
Report error
- Product number
- GTX129593 - Provider product page

- Provider
- GeneTex
- Product name
- AMH antibody
- Antibody type
- Polyclonal
- Reactivity
- Human, Mouse
- Host
- Rabbit
Submitted references Formation and activation induction of primordial follicles using granulosa and cumulus cells conditioned media.
Atrabi MJ, Akbarinejad V, Khanbabaee R, Dalman A, Amorim CA, Najar-Asl M, Valojerdi MR, Fathi R
Journal of cellular physiology 2019 Jul;234(7):10148-10156
Journal of cellular physiology 2019 Jul;234(7):10148-10156
No comments: Submit comment
Supportive validation
- Submitted by
- GeneTex (provider)
- Main image

- Experimental details
- AMH antibody detects AMH protein by western blot analysis.A. 30 ?g 293T whole cell lysate/extract B. 30 ?g A431 whole cell lysate/extract C. 30 ?g HeLa whole cell lysate/extract D. 30 ?g HepG2 whole cell lysate/extract7.5% SDS-PAGEAMH antibody (GTX129593) dilution: 1:2500 The HRP-conjugated anti-rabbit IgG antibody (GTX213110-01) was used to detect the primary antibody.
Supportive validation
- Submitted by
- GeneTex (provider)
- Main image

- Experimental details
- AMH antibody detects AMH protein at cytoplasm by immunofluorescent analysis.Sample: MCF-7 cells were fixed in ice-cold MeOH for 5 min.Green: AMH protein stained by AMH antibody (GTX129593) diluted at 1:500.Blue: Hoechst 33342 staining.
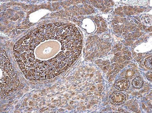
Supportive validation
- Submitted by
- GeneTex (provider)
- Main image

- Experimental details
- AMH antibody detects AMH protein at cytosol on mouse ovary by immunohistochemical analysis. Sample: Paraffin-embedded mouse ovary. AMH antibody (GTX129593) dilution: 1:500.
- Submitted by
- GeneTex (provider)
- Main image

- Experimental details
- AMH antibody detects AMH protein at cytosol on mouse testis by immunohistochemical analysis. Sample: Paraffin-embedded mouse testis. AMH antibody (GTX129593) dilution: 1:500.