Antibody data
- Antibody Data
- Antigen structure
- References [0]
- Comments [0]
- Validations
- Western blot [2]
- Immunohistochemistry [2]
Submit
Validation data
Reference
Comment
Report error
- Product number
- NBP1-31402 - Provider product page

- Provider
- Novus Biologicals
- Proper citation
- Novus Cat#NBP1-31402, RRID:AB_2155855
- Product name
- Rabbit Polyclonal NSFL1C Antibody
- Antibody type
- Polyclonal
- Description
- Immunogen affinity purified. human NSFL1C protein.
- Reactivity
- Human, Mouse
- Host
- Rabbit
- Isotype
- IgG
- Vial size
- 100 ul
- Storage
- Aliquot and store at -20C or -80C. Avoid freeze-thaw cycles.
No comments: Submit comment
Supportive validation
- Submitted by
- Novus Biologicals (provider)
- Main image

- Experimental details
- Western Blot: NSFL1C Antibody [NBP1-31402] - Sample(30 ug whole cell lysate) A:293T B:A431 C:H1299 10% SDS PAGE, antibody diluted at 1:1000.
- Submitted by
- Novus Biologicals (provider)
- Main image

- Experimental details
- Western Blot: NSFL1C Antibody [NBP1-31402] - Sample (50 ug of whole cell lysate) A: Mouse brain 10% SDS PAGE; antibody diluted at 1:1000.
Supportive validation
- Submitted by
- Novus Biologicals (provider)
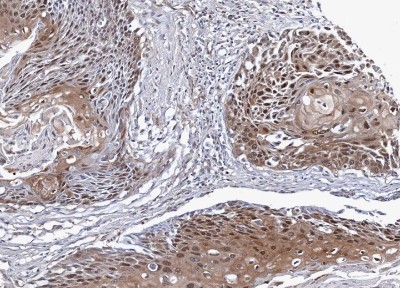
- Main image

- Experimental details
- Immunohistochemistry-Paraffin: NSFL1C Antibody [NBP1-31402] - Paraffin-embedded differential N/T pair Lung SCC cancer xenograft, using antibody at 1:100 dilution.
- Submitted by
- Novus Biologicals (provider)
- Main image

- Experimental details
- Immunohistochemistry-Paraffin: NSFL1C Antibody [NBP1-31402] - NSFL1C antibody [N1C2] detects NSFL1C protein at cytoplasm and nucleus on mouse brain by immunohistochemical analysis. Sample: Paraffin-embedded mouse brain. NSFL1C antibody [N1C2] diluted at 1:500. Antigen Retrieval: Trilogy (EDTA based, pH 8.0) buffer, 15min